A 53-year-old woman was admitted to the hospital for evaluation of a 1-week history of lower abdominal pain and dysuria. She was afebrile.
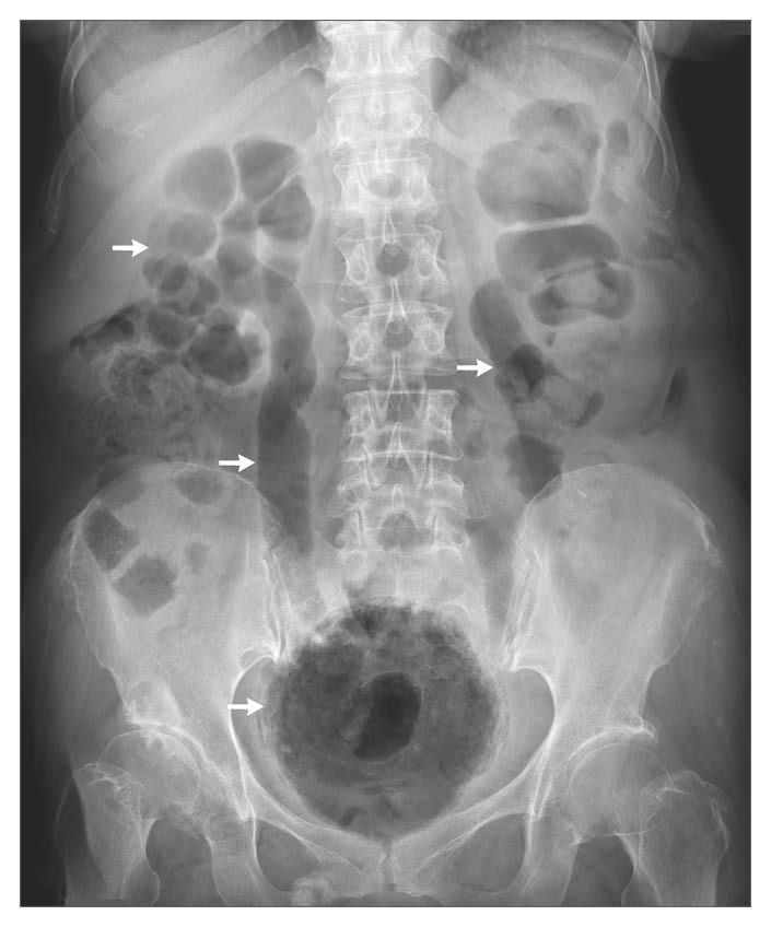
Plain abdominal radiography showed air throughout the urinary tract in the kidneys, ureters, and bladder (arrows).
The laboratory data showed elevated levels of blood glucose (519 mg per deciliter [28.8 mmol per liter]), C-reactive protein (37.1 mg per liter), and serum creatinine (1.6 mg per deciliter [141 μmol per liter]). The white-cell count was 11.9×10^3 per cubic millimeter.
Computed tomography confirmed the radiographic finding of acute emphysematous cystitis. A urine culture grew Escherichia coli, and the patient had a good response to antibiotic treatment.
Patients with diabetes mellitus have a predisposition to complicated urinary tract infections such as emphysematous cystitis, which is thought to be caused by fermentation of glucose by bacterial and fungal pathogens.

