This article is an answer to the Case – Shortness of Breath on Exertion and Nonproductive Cough
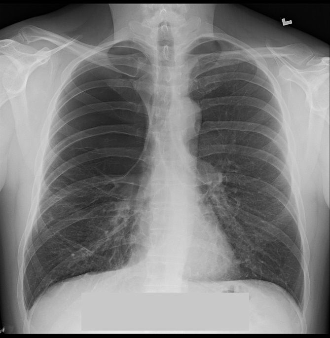
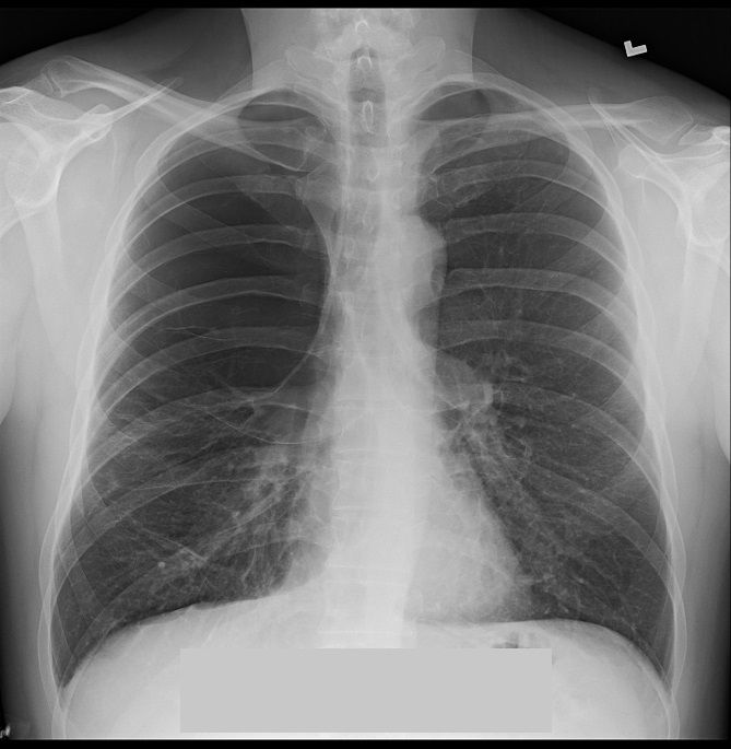
Findings on Chest X-Ray
There is a thin-walled lucency predominantly in the apical regions.
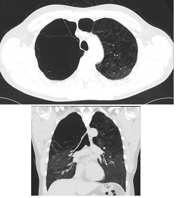
Findings on Chest CT
There are numerous large apical bullae. In addition, there is advanced confluent centrilobular and paraseptal emphysema.
Differential diagnosis
- Bullous emphysema
- Pulmonary honeycombing
- Lymphangioleiomyomatosis
- Pulmonary Langerhans cell histiocytosis


