Skip to content
Manual of Medicine
  • Topics
    • Acid Base and Electrolytes
    • Cardiology
    • Emergency and Acute Medicine
    • Endocrinology
    • Gastroenterology
    • Gynaecology
    • Hematology and Oncology
    • Infectious Diseases
    • Neurology
    • Nephrology and Urology
    • Pulmonology
    • Pharmacology
    • Pediatrics
  • Spot Diagnosis
  • ECGs
  • Toggle website search
Search this website

Spot Diagnosis

Home » Spot Diagnosis

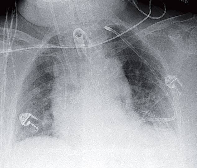
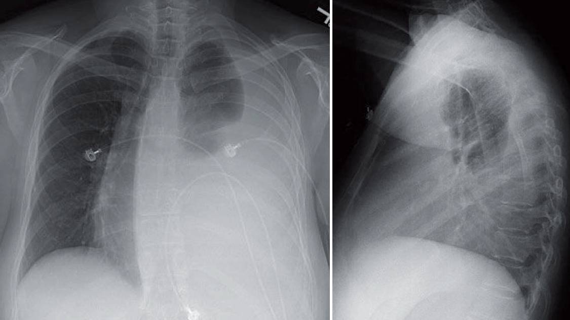
42-year-old Woman With Shortness of Breath

Read more about the article 42-year-old Woman With Shortness of Breath
  • Post category:Spot Diagnosis
  • Post published:November 30, 2025

42-year-old woman with shortness of breath receives this chest radiograph...

Continue Reading42-year-old Woman With Shortness of Breath

Leathery Verrucous Plaques and Nodules

Read more about the article Leathery Verrucous Plaques and Nodules
  • Post category:Spot Diagnosis
  • Post published:November 22, 2025

A 61-year-old man presented with bilateral, asymptomatic, indurated non-pitting verrucous plaques and nodules on his extremities and buttocks...

Continue ReadingLeathery Verrucous Plaques and Nodules

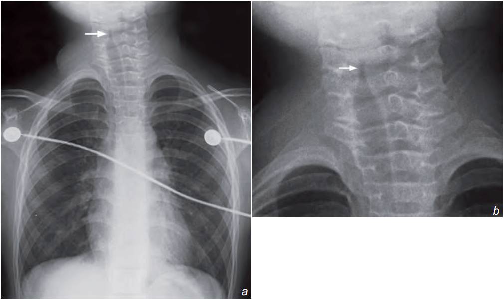
19-year-old Man After a Motor Vehicle Collision

Read more about the article 19-year-old Man After a Motor Vehicle Collision
  • Post category:Spot Diagnosis
  • Post published:November 15, 2025

19-year-old man after a motor vehicle collision is imaged in the trauma suite...

Continue Reading19-year-old Man After a Motor Vehicle Collision

Skin Lesion in a Patient on Haemodialysis

Read more about the article Skin Lesion in a Patient on Haemodialysis
  • Post category:Spot Diagnosis
  • Post published:November 8, 2025

A 59-year-old man with end-stage renal disease and haemodialysis was admitted with painful, non-healing ulcerations on his legs...

Continue ReadingSkin Lesion in a Patient on Haemodialysis

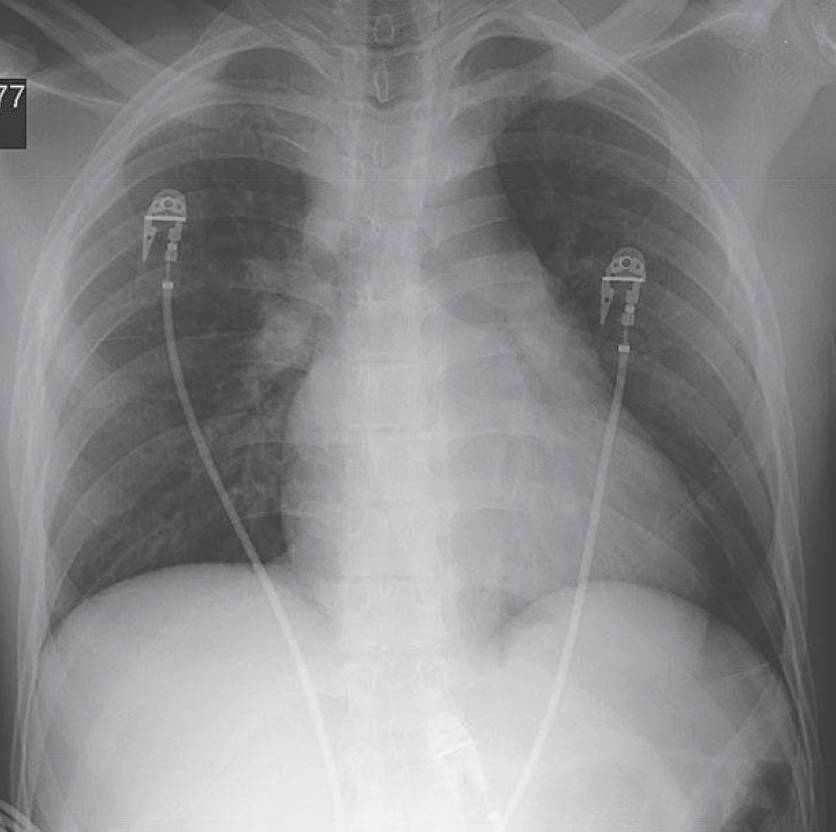
27-year-old woman with chest tightness and dyspnea

Read more about the article 27-year-old woman with chest tightness and dyspnea
  • Post category:Spot Diagnosis
  • Post published:November 5, 2025

27-year-old woman with chest tightness and shortness of breath presents to the Emergency Department...

Continue Reading27-year-old woman with chest tightness and dyspnea

Pruritic Rash in a Woman with HIV

Read more about the article Pruritic Rash in a Woman with HIV
  • Post category:Spot Diagnosis
  • Post published:October 26, 2025

33-year-old homeless woman presented to the emergency room with 2 days of dry cough, dyspnoea, and fever...

Continue ReadingPruritic Rash in a Woman with HIV

Colicky Pain, Vomiting, and Constipation – What’s the Cause?

Read more about the article Colicky Pain, Vomiting, and Constipation – What’s the Cause?
  • Post category:Spot Diagnosis
  • Post published:October 19, 2025

A 70-year-old woman with a known history of gallstone disease, complained of colicky abdominal pain, vomiting, abdominal distension and constipation for three days...

Continue ReadingColicky Pain, Vomiting, and Constipation – What’s the Cause?

A 62-year-old Man with Periocular Purpura

Read more about the article A 62-year-old Man with Periocular Purpura
  • Post category:Spot Diagnosis
  • Post published:October 14, 2025

A 62-year-old man with purpura on his eyelids. 7 months before, periocular purpura appeared after a minimal trauma...

Continue ReadingA 62-year-old Man with Periocular Purpura

2-year-old Boy with Fever, and ‘Brassy’ Cough

Read more about the article 2-year-old Boy with Fever, and ‘Brassy’ Cough
  • Post category:Spot Diagnosis
  • Post published:October 4, 2025

A 2-year-old boy presented with fever, and a ‘brassy’ cough for 3 days...

Continue Reading2-year-old Boy with Fever, and ‘Brassy’ Cough

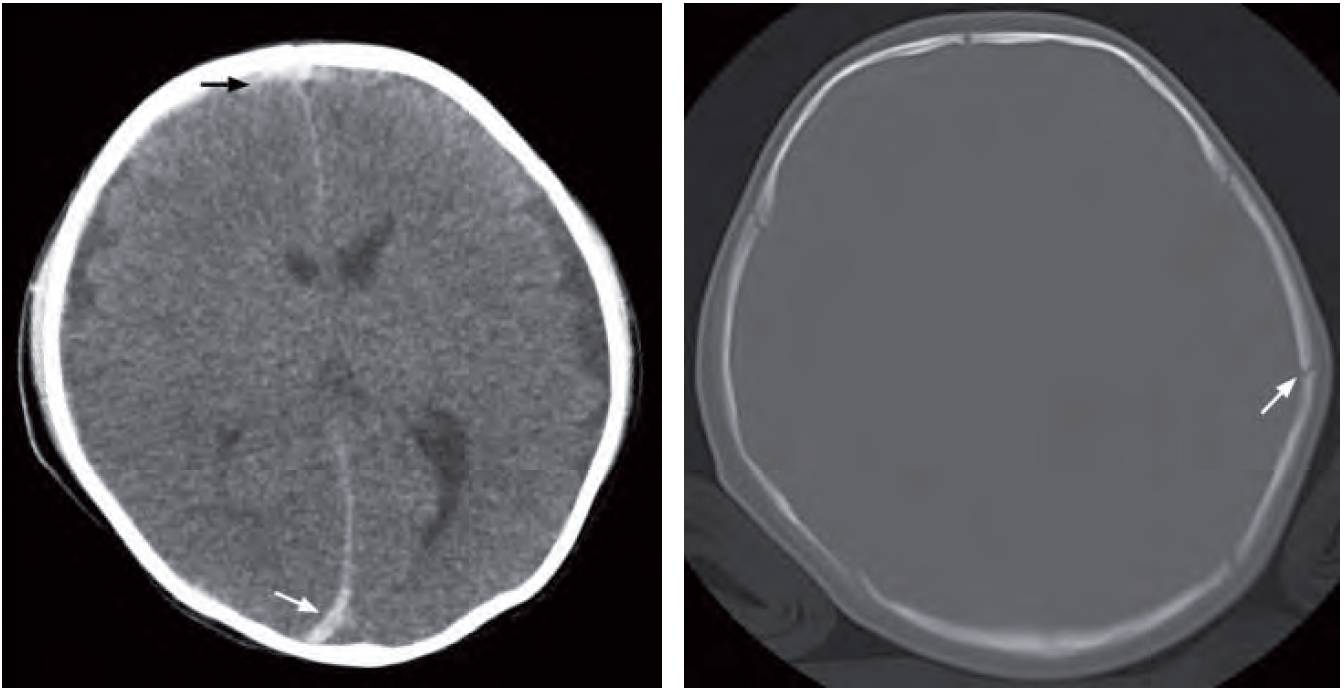
A Dent in the Head

Read more about the article A Dent in the Head
  • Post category:Spot Diagnosis
  • Post published:September 29, 2025

A 40-year-old man, with no medical history of note, went to his physician for a dent in his head...

Continue ReadingA Dent in the Head
  • 1
  • 2
  • 3
  • 4
  • …
  • 32
  • Go to the next page

Recent Posts

  • Gut on Pause: Clinical Insights Into Constipation
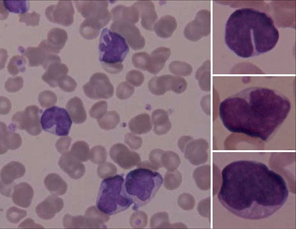
  • Diagnostic Pathways for Atypical Presentations of Autoimmune Hemolytic Anemia
  • Stuck on the Way Down: Understanding Dysphagia
  • Differential Diagnosis of Pathologic Urine Findings (Urinalysis)
  • Pediatric Oncology Diagnosis and Therapeutic Approaches

Categories

  • Acid Base and Electrolytes
  • Cardiology
  • ECG Interpretations
  • ECGs
  • Emergency and Acute Medicine
  • Endocrinology
  • Gastroenterology
  • Gynaecology
  • Hematology and Oncology
  • Infectious Diseases
  • ME/CFS/FM, Long Covid
  • Nephrology and Urology
  • Neurology
  • Pediatrics
  • Pharmacology
  • Pulmonology
  • Questions
  • Questions Answers
  • Rheumatology
  • Spot Diagnosis
  • Spot Diagnosis – Case Answers
  • Topics
  • Uncategorized
  • About
  • Privacy Policy
  • Cookies
  • Terms and Conditions
  • Contact Us
Manual of Medicine
  • Topics
    • Acid Base and Electrolytes
    • Cardiology
    • Emergency and Acute Medicine
    • Endocrinology
    • Gastroenterology
    • Gynaecology
    • Hematology and Oncology
    • Infectious Diseases
    • Neurology
    • Nephrology and Urology
    • Pulmonology
    • Pharmacology
    • Pediatrics
  • Spot Diagnosis
  • ECGs
  • Toggle website search
Type your search
account android arrow-alt-circle-down arrow-alt-circle-left arrow-alt-circle-right arrow-alt-circle-up arrow-down arrow-left arrow-right arrow-up author bars behance blogger bluesky buffer caret-down caret-left caret-right caret-square-down caret-square-left caret-square-right caret-square-up caret-up cart-menu-1 cart-menu-2 cart-menu-3 cart-menu-4 categories chevron-down chevron-left chevron-right chevron-up clock close comments cookies copyright coupon-discount date-modified date-published discord double-arrows-down double-arrows-left double-arrows-right double-arrows-up dribbble envelope-open envelope eye facebook fax flickr foursquare github gmail google-drive grid-view hashtag hollow-ring homepage instagram ios level-down-alt level-up-alt line link linkedin list-view login logout long-arrow-alt-down long-arrow-alt-left long-arrow-alt-right long-arrow-alt-up mastodonmedium messenger mobile-menu mobile phone pinterest place qq quote-left quote-right quotes reading-time-hourglass reading-time-stopwatch reddit rss scroll-to-top search shazam shopping-bag shopping-cart side-panel-opening-2-left side-panel-opening-2-right side-panel-opening-left side-panel-opening-right skype slack small-arrow-down small-arrow-left small-arrow-right small-arrow-up sms snapchat soundcloud spinner spotify stackoverflow sync telegram threadstiktok times-circle tinder trello tripadvisor tumblr twitch twitter viber vimeo vine vkontakte website wechat whatsapp windows wishlist xing yelp youtube zoom