This post is an answer to the Case – 26-year-old Woman With Sudden Onset of Chest and Shoulder Pain
Findings
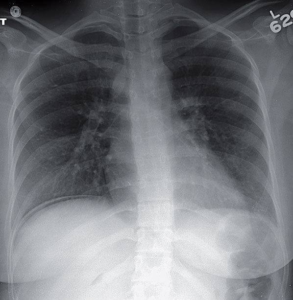
- Chest radiograph shows a crescentic lucency below the right hemidiaphragm
- Another lucency is seen above the right kidney. This gas within the hepatorenal fossa has been called the “Doge’s cap” sign, as it is said to resemble the headgear of the former leaders of Venice.
Differential Diagnosis
Curvilinear lucency at the level of the right hemidiaphragm may represent either a subpulmonic pneumothorax or free intraperitoneal gas.
Teaching Points
- Because the differential includes both free intraperitoneal gas and pneumothorax, knowledge of the patient’s position is key. On an upright study, gas in this location is most likely from free intraperitoneal gas. On a supine radiograph, the gas could be from either. An upright or left lateral decubitus film might be useful, as the pneumothorax is best seen at the apex (on the upright) or lateral aspect of the lung (on a contralateral decubitus).
- Care must be taken to exclude mimics of free intraperitoneal gas, including colonic interposition, in which haustra may be seen below the hemidiaphragm.
- Signs of pneumoperitoneum on chest radiography include curvilinear lucency beneath the hemidiaphragm, gas outlining the right border of the liver on a left lateral decubitus, Doge’s cap, continuous diaphragm sign, and generalized increased lucency overlying the liver.
- Other signs, such as the Rigler sign (gas outlining both sides of bowel wall) and the triangle sign (gas within the mesentery between loops of bowel), may be seen.
- Pneumoperitoneum may follow intraperitoneal abdominal surgery or trauma, percutaneous catheter placement, or perforation of bowel. Less commonly, pneumoperitoneum may follow pneumomediastinum.
Management
- Because pneumoperitoneum may be a finding of a ruptured viscus, management is directed towards documenting its presence and excluding certain benign causes.
- When encountered in the reading room, one must look for any antecedent surgery or intervention. As a general rule, free gas should resolve by 7 to 10 days after surgery and decrease with time.
- Increasingly, CT is used to document pneumoperitoneum and reveal a potential source.
Further Reading
Chiu YH, Chen JD, Tiu CM, Chou YH, Yen DH, Huang CI, Chang CY. Reappraisal of radiographic signs of pneumoperitoneum at emergency department. Am J Emerg Med. 2009 Mar;27(3):320-7. doi: 10.1016/j.ajem.2008.03.004. PMID: 19328377.

