This post is an answer to the Case – Crushing Chest Pain and Shortness of Breath
Chest X-Ray Interpretation
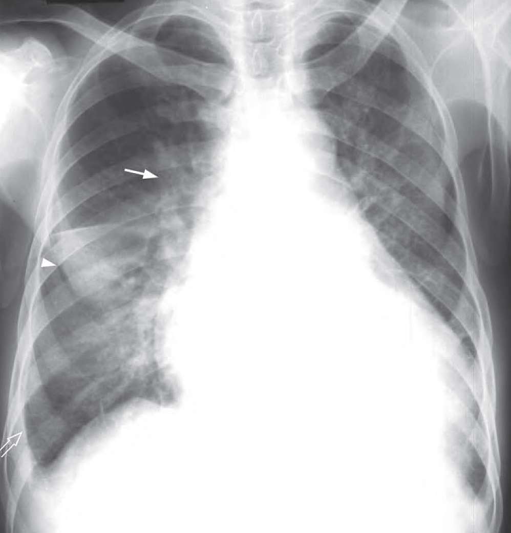
- Cardiomegaly
- Upper lobe venous diversion
- Septal lines (Kerley B lines) best seen in the right lower zone
- Sharply outlined haziness in the right upper zone with no evidence of an air bronchogram suggestive of fluid in the right horizontal fissure
Diagnosis
Congestive cardiac failure. Chest radiograph showing cardiomegaly, upper lobe venous diversion (arrow), septal lines (Kerley B lines) best seen in the right lower zone (open arrow) and thickening/fluid in the horizontal fissure (arrowhead). The fluid in the right horizontal fissure is sometimes called the ‘Phantom tumour’ as it may disappear on subsequent radiographs as the patient’s condition improves
READ MORE: Chronic Heart Failure – Approach, Evaluation and Management

