An 18-year-old intoxicated man was assaulted with a glass bottle on the left parietal region of his head and had a 5-minute loss of consciousness. The patient went home, but 2 hours after the injury, he presented to a local emergency department with severe headache, nausea, and vomiting.
On physical examination, his score on the Glasgow Coma Scale was 15 (scores range from 3 to 15, with 15 indicating a normal level of consciousness), he had equal and bilaterally reactive pupils, and there was a small contusion on the scalp in the left temporoparietal region.
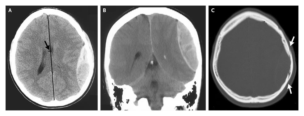
Computed tomography of the head revealed a 2.5-cm epidural hematoma in the left parietal region (Panels A and B) underlying a linear, nondisplaced skull fracture (Panel C, arrows). There was mass effect, effacement of the left ventricular system, and 6 mm of left-to-right midline shift (Panel A, arrow).
After 30 minutes, his score on the Glasgow Coma Scale dropped to 13, and he was intubated and transported by helicopter to our hospital, where on arrival 30 minutes later, his left pupil was dilated.
He was taken directly to the operating room, where he underwent a craniotomy for evacuation of the epidural hematoma. Several bleeding sites from the middle meningeal artery were identified and coagulated.
He returned to work as a builder 3 months after the injury. At his last follow-up examination, 14 months after the injury, he had no physical or cognitive deficits.

