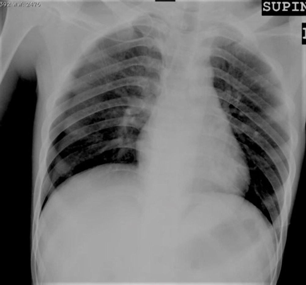
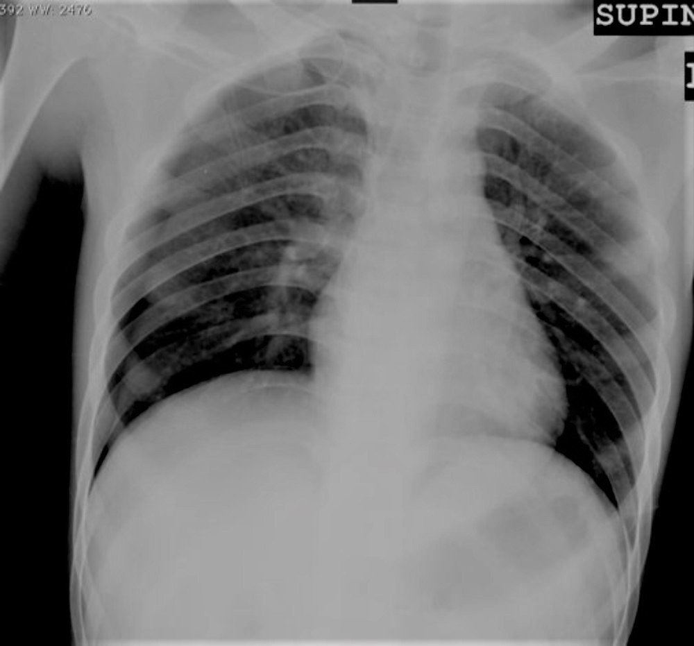
Dyspnea After Insertion of Central Venous Catheter Post category:Spot Diagnosis Post published:July 1, 2023 Share on Facebook Share on X (Twitter) Share on Pinterest Share on Email Share on Reddit Dyspnea after insertion of central venous catheter A 30 years old man presents with dyspnea after insertion of central venous catheter. What’s the Diagnosis ? FULL CASE AND ANSWER Share on Facebook Share on X (Twitter) Share on Pinterest Share on Email Share on Reddit Read more articles Previous PostA 60-year-old Woman with Blurry Vision in Left Eye Next PostGeneralized Pustular Eruptions You Might Also Like Patient with a 1-day history of fever, symmetric polyarthritis, abdominal pain, and hematemesis September 30, 2021 Asymptomatic, Widespread, Erythematous-to-Violaceous Papules and Plaques May 8, 2022 Hyperkeratosis, Papillomatous Plaques, and Loosely Adherent Crust on Legs December 15, 2021
Patient with a 1-day history of fever, symmetric polyarthritis, abdominal pain, and hematemesis September 30, 2021