Skip to content
Manual of Medicine
  • Topics
    • Acid Base and Electrolytes
    • Cardiology
    • Emergency and Acute Medicine
    • Endocrinology
    • Gastroenterology
    • Gynaecology
    • Hematology and Oncology
    • Infectious Diseases
    • Neurology
    • Nephrology and Urology
    • Pulmonology
    • Pharmacology
    • Pediatrics
  • Spot Diagnosis
  • ECGs
  • Toggle website search
Search this website

Blog

Home » Spot Diagnosis » Headache after Motor Vehicle Accident

Headache after Motor Vehicle Accident

  • Post category:Spot Diagnosis
  • Post published:August 4, 2023
Share on Facebook Share on X (Twitter) Share on Pinterest Share on Email Share on Reddit
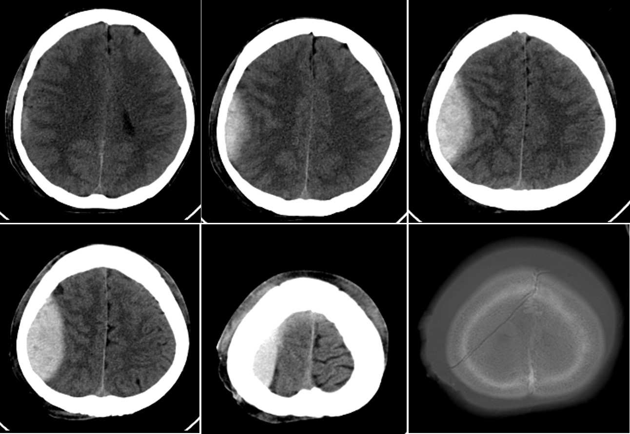
Head CT scan of a patient complaining of headache after motor vehicle accident

A 55-year-old man involved in a motor vehicle accident complains of headache, his GCS is 14/15.

What’s the diagnosis ?

FULL CASE AND ANSWER
Share on Facebook Share on X (Twitter) Share on Pinterest Share on Email Share on Reddit

Read more articles

Previous PostInfant with “Blueberry Muffin” Rash
Next PostHypopigmentation and Hyperpigmentation on Sclerotic Skin

You Might Also Like

Read more about the article Spoon-Shaped Nails

Spoon-Shaped Nails

July 1, 2021
Read more about the article 3-year-old Girl with Pruritic Blanching Rash

3-year-old Girl with Pruritic Blanching Rash

June 7, 2022
Read more about the article Black Cutaneous Lesions

Black Cutaneous Lesions

May 11, 2021

Recent Posts

  • Stuck on the Way Down: Understanding Dysphagia
  • Differential Diagnosis of Pathologic Urine Findings (Urinalysis)
  • Pediatric Oncology Diagnosis and Therapeutic Approaches
  • Disorders of Magnesium Homeostasis
  • Irritable Bowel Syndrome (IBS): From Diagnosis to Treatment

Categories

  • Acid Base and Electrolytes
  • Cardiology
  • ECG Interpretations
  • ECGs
  • Emergency and Acute Medicine
  • Endocrinology
  • Gastroenterology
  • Gynaecology
  • Hematology and Oncology
  • Infectious Diseases
  • ME/CFS/FM, Long Covid
  • Nephrology and Urology
  • Neurology
  • Pediatrics
  • Pharmacology
  • Pulmonology
  • Questions
  • Questions Answers
  • Rheumatology
  • Spot Diagnosis
  • Spot Diagnosis – Case Answers
  • Topics
  • Uncategorized
  • About
  • Privacy Policy
  • Cookies
  • Terms and Conditions
  • Contact Us
Manual of Medicine
  • Topics
    • Acid Base and Electrolytes
    • Cardiology
    • Emergency and Acute Medicine
    • Endocrinology
    • Gastroenterology
    • Gynaecology
    • Hematology and Oncology
    • Infectious Diseases
    • Neurology
    • Nephrology and Urology
    • Pulmonology
    • Pharmacology
    • Pediatrics
  • Spot Diagnosis
  • ECGs
  • Toggle website search
Type your search
account android arrow-alt-circle-down arrow-alt-circle-left arrow-alt-circle-right arrow-alt-circle-up arrow-down arrow-left arrow-right arrow-up author bars behance blogger bluesky buffer caret-down caret-left caret-right caret-square-down caret-square-left caret-square-right caret-square-up caret-up cart-menu-1 cart-menu-2 cart-menu-3 cart-menu-4 categories chevron-down chevron-left chevron-right chevron-up clock close comments cookies copyright coupon-discount date-modified date-published discord double-arrows-down double-arrows-left double-arrows-right double-arrows-up dribbble envelope-open envelope eye facebook fax flickr foursquare github gmail google-drive grid-view hashtag hollow-ring homepage instagram ios level-down-alt level-up-alt line link linkedin list-view login logout long-arrow-alt-down long-arrow-alt-left long-arrow-alt-right long-arrow-alt-up mastodonmedium messenger mobile-menu mobile phone pinterest place qq quote-left quote-right quotes reading-time-hourglass reading-time-stopwatch reddit rss scroll-to-top search shazam shopping-bag shopping-cart side-panel-opening-2-left side-panel-opening-2-right side-panel-opening-left side-panel-opening-right skype slack small-arrow-down small-arrow-left small-arrow-right small-arrow-up sms snapchat soundcloud spinner spotify stackoverflow sync telegram threadstiktok times-circle tinder trello tripadvisor tumblr twitch twitter viber vimeo vine vkontakte website wechat whatsapp windows wishlist xing yelp youtube zoom