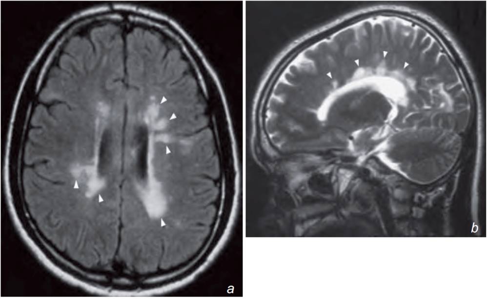
A 22-year-old woman with a previous history of optic neuritis two years earlier followed by multiple episodes of relapsing and remitting sensory and motor symptoms involving different parts of the body underwent MRI of the brain.
What does the MRI show and what is the most likely diagnosis?

