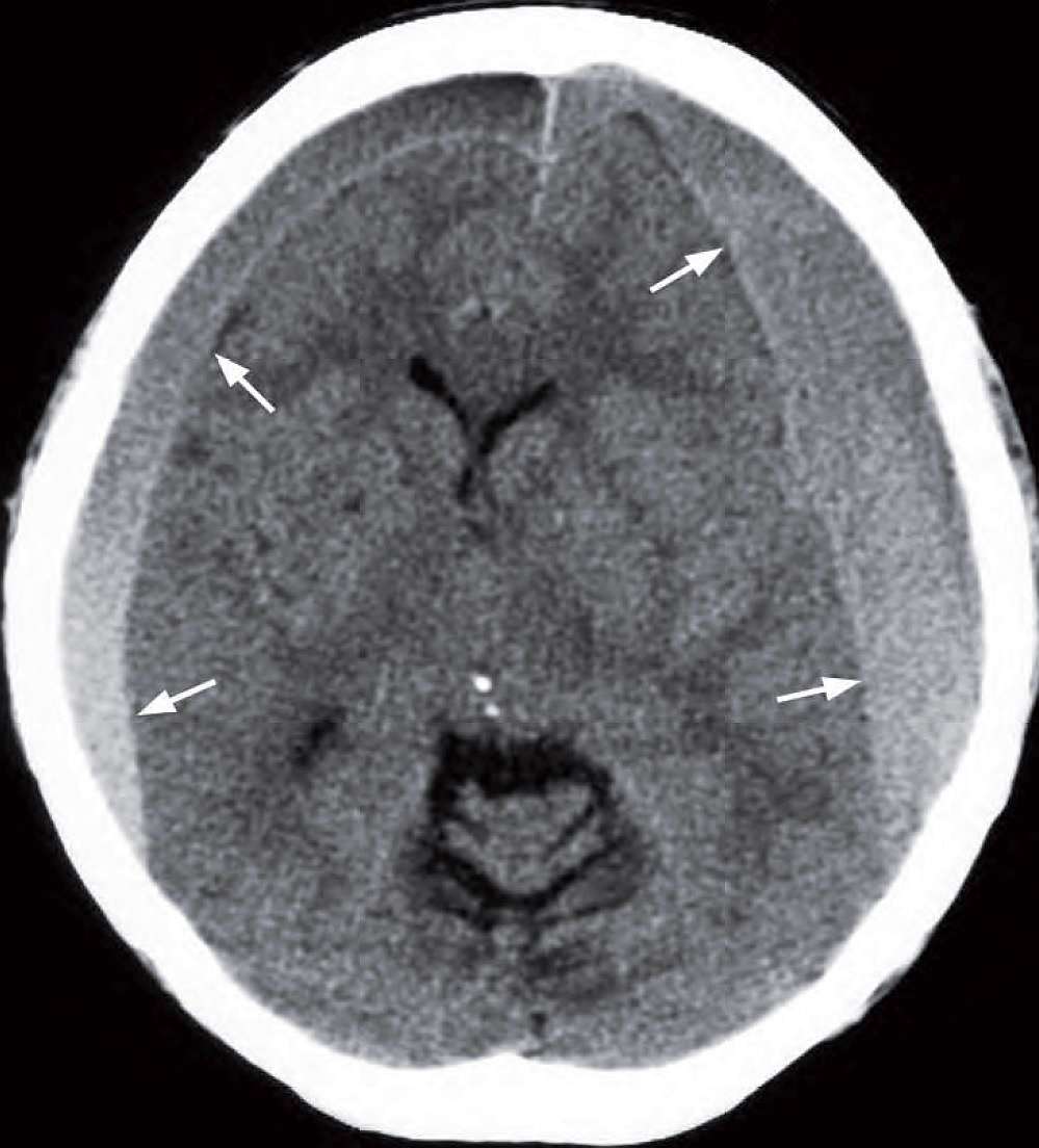
A 73-year-old woman presented with chronic headache, occasional vomiting, unsteadiness and frequent falls. In the past few months there had been a progressive deterioration in her mental function and increasing drowsiness. Physical examination showed moderate papilloedema but was otherwise unremarkable. A CT brain was performed.
What is shown on the CT and what is the diagnosis ?

