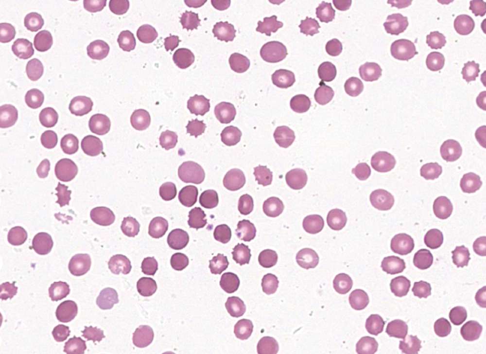
A 48-year-old woman with advanced cirrhosis presented with fatigue, jaundice, and abdominal distention. Laboratory studies showed a hemoglobin level of 5.8 g per deciliter (reference range, 12.0 to 15.5), a lactate dehydrogenase level of 1219 U per liter (reference range, 125 to 220), a low haptoglobin level, and an elevated reticulocyte count. Coombs’ antiglobulin testing was normal. The result of a peripheral-blood smear is shown.
What is the diagnosis?

