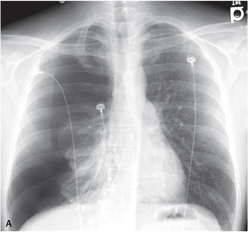
Patient with Pleuritic Chest Pain and Shortness of Breath Post category:Spot Diagnosis Post published:June 20, 2023 Share on Facebook Share on X (Twitter) Share on Pinterest Share on Email Share on Reddit Chest X-ray of a patient with pleuritic chest pain and shortness of breath 37-year-old man presents to the Emergency Department with pleuritic chest pain and shortness of breath. What’s the diagnosis ? FULL CASE AND ANSWER Share on Facebook Share on X (Twitter) Share on Pinterest Share on Email Share on Reddit Read more articles Previous PostFever, Rash and Tongue Changes Next PostReversible Facial Congestion After Elevation of Both Arms You Might Also Like A Diagonal Crease in Each Earlobe September 7, 2021 Patient with Hypercalcemia and Suppressed Parathyroid Hormone Level October 4, 2021 Phlegmasia Cerulea Dolens (Deep Vein Thrombosis) May 10, 2021