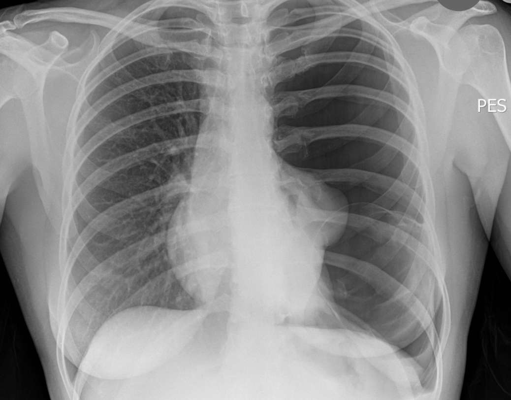
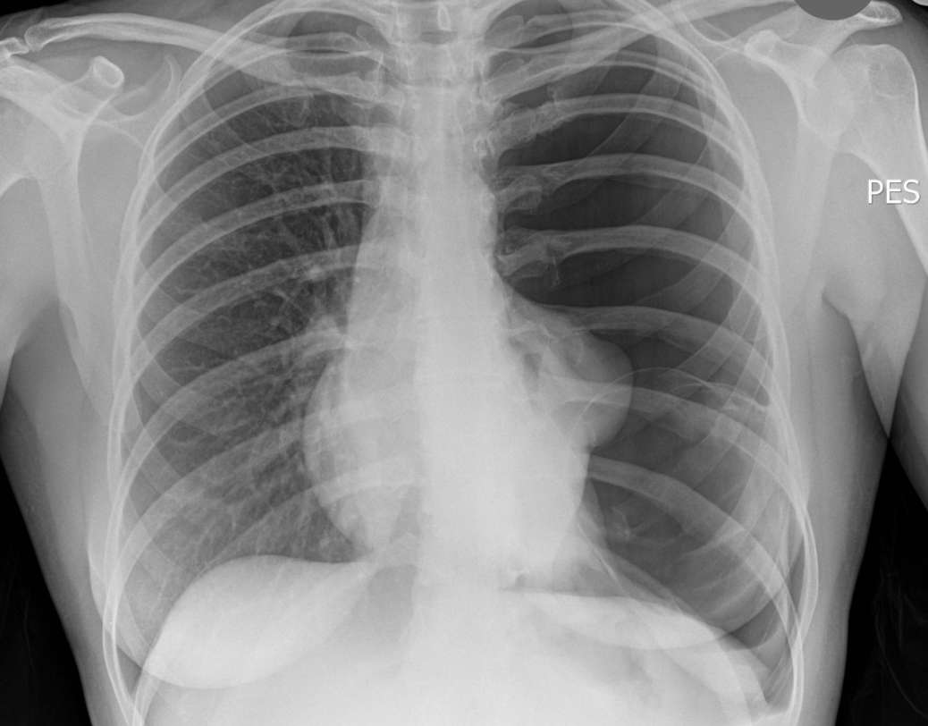
A 38-year-old woman was referred to the emergency department with a 2-week history of progressive breathlessness with no chest pain. Past medical history of asthma.
On examination she had reduced oxygen saturation (91%) on 2L oxygen, was slightly tachycardic (110 b.p.m.) and had reduced air entry in the left lung.
What’s the diagnosis ?

