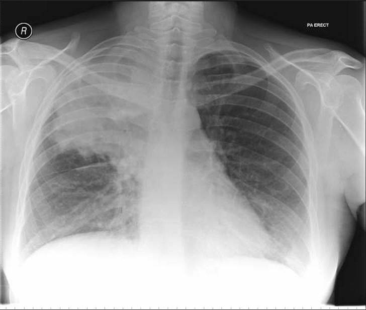
This 35-year-old lady in the 24th week of gestation presented with a 2 day history of pleuritic chest pain and dyspnoea. On clinical examination she was apyrexial but tachypnoeic with no crackles on auscultation.
The following day she became acutely unwell, pyrexial and on chest auscultation right sided crackles were elicited. A chest x-ray was requested. Her past medical history included two previous pulmonary emboli for which she was receiving dalteparin throughout her pregnancy.
What’s the diagnosis ?

