Skip to content
Manual of Medicine
  • Topics
    • Acid Base and Electrolytes
    • Cardiology
    • Emergency and Acute Medicine
    • Endocrinology
    • Gastroenterology
    • Gynaecology
    • Hematology and Oncology
    • Infectious Diseases
    • Neurology
    • Nephrology and Urology
    • Pulmonology
    • Pharmacology
    • Pediatrics
  • Spot Diagnosis
  • ECGs
  • Toggle website search
Search this website

Blog

Home » Spot Diagnosis » 22-year-old Man With Severe Sudden Onset of Chest Pain

22-year-old Man With Severe Sudden Onset of Chest Pain

  • Post category:Spot Diagnosis
  • Post published:January 11, 2026
Share on Facebook Share on X (Twitter) Share on Pinterest Share on Email Share on Reddit
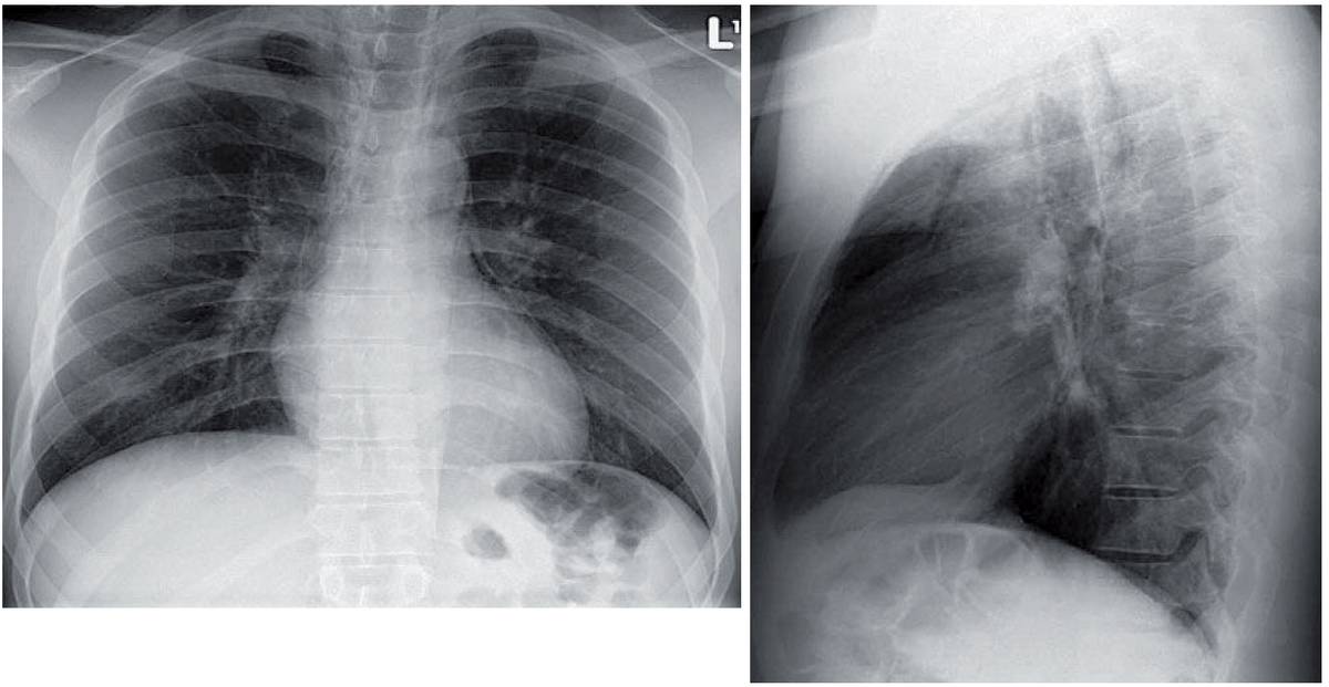
Chest x-ray of a 22-year-old man with severe sudden onset of chest pain
22-year-old man with severe sudden onset of chest pain

22-year-old man complains of severe sudden onset of chest pain.

What’s the diagnosis ?

FULL CASE AND ANSWER
Share on Facebook Share on X (Twitter) Share on Pinterest Share on Email Share on Reddit

Read more articles

Previous PostDark Brown Serum
Next Post26-year-old Woman With Sudden Onset of Chest and Shoulder Pain

You Might Also Like

Read more about the article Black Discoloration of the Tongue

Black Discoloration of the Tongue

August 12, 2021
Read more about the article Black Cutaneous Lesions

Black Cutaneous Lesions

May 11, 2021
Read more about the article Migratory, Pruritic Skin Eruption

Migratory, Pruritic Skin Eruption

March 8, 2022

Recent Posts

  • Gut on Pause: Clinical Insights Into Constipation
  • Diagnostic Pathways for Atypical Presentations of Autoimmune Hemolytic Anemia
  • Stuck on the Way Down: Understanding Dysphagia
  • Differential Diagnosis of Pathologic Urine Findings (Urinalysis)
  • Pediatric Oncology Diagnosis and Therapeutic Approaches

Categories

  • Acid Base and Electrolytes
  • Cardiology
  • ECG Interpretations
  • ECGs
  • Emergency and Acute Medicine
  • Endocrinology
  • Gastroenterology
  • Gynaecology
  • Hematology and Oncology
  • Infectious Diseases
  • ME/CFS/FM, Long Covid
  • Nephrology and Urology
  • Neurology
  • Pediatrics
  • Pharmacology
  • Pulmonology
  • Questions
  • Questions Answers
  • Rheumatology
  • Spot Diagnosis
  • Spot Diagnosis – Case Answers
  • Topics
  • Uncategorized
  • About
  • Privacy Policy
  • Cookies
  • Terms and Conditions
  • Contact Us
Manual of Medicine
  • Topics
    • Acid Base and Electrolytes
    • Cardiology
    • Emergency and Acute Medicine
    • Endocrinology
    • Gastroenterology
    • Gynaecology
    • Hematology and Oncology
    • Infectious Diseases
    • Neurology
    • Nephrology and Urology
    • Pulmonology
    • Pharmacology
    • Pediatrics
  • Spot Diagnosis
  • ECGs
  • Toggle website search
Type your search
account android arrow-alt-circle-down arrow-alt-circle-left arrow-alt-circle-right arrow-alt-circle-up arrow-down arrow-left arrow-right arrow-up author bars behance blogger bluesky buffer caret-down caret-left caret-right caret-square-down caret-square-left caret-square-right caret-square-up caret-up cart-menu-1 cart-menu-2 cart-menu-3 cart-menu-4 categories chevron-down chevron-left chevron-right chevron-up clock close comments cookies copyright coupon-discount date-modified date-published discord double-arrows-down double-arrows-left double-arrows-right double-arrows-up dribbble envelope-open envelope eye facebook fax flickr foursquare github gmail google-drive grid-view hashtag hollow-ring homepage instagram ios level-down-alt level-up-alt line link linkedin list-view login logout long-arrow-alt-down long-arrow-alt-left long-arrow-alt-right long-arrow-alt-up mastodonmedium messenger mobile-menu mobile phone pinterest place qq quote-left quote-right quotes reading-time-hourglass reading-time-stopwatch reddit rss scroll-to-top search shazam shopping-bag shopping-cart side-panel-opening-2-left side-panel-opening-2-right side-panel-opening-left side-panel-opening-right skype slack small-arrow-down small-arrow-left small-arrow-right small-arrow-up sms snapchat soundcloud spinner spotify stackoverflow sync telegram threadstiktok times-circle tinder trello tripadvisor tumblr twitch twitter viber vimeo vine vkontakte website wechat whatsapp windows wishlist xing yelp youtube zoom