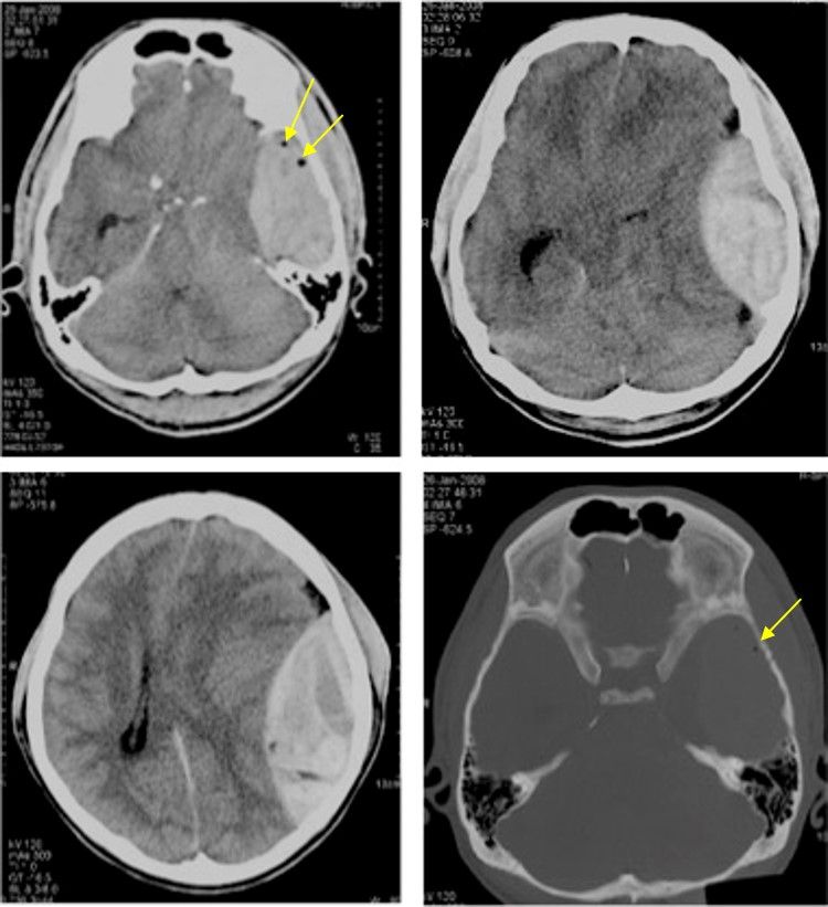
23-Year-Old Man Involved in Motor Vehicle Accident Post category:Spot Diagnosis Post published:August 22, 2023 Share on Facebook Share on X (Twitter) Share on Pinterest Share on Email Share on Reddit Axial non-contrasted CT scan of the brain with soft tissue and bone window A 23-year-old man was involved in motor vehicle accident. GCS on arrival at the emergency department was 13/15. An urgent non-contrasted CT brain was performed. What’s the diagnosis ? FULL CASE AND ANSWER Share on Facebook Share on X (Twitter) Share on Pinterest Share on Email Share on Reddit Read more articles Previous PostHypopigmentation and Hyperpigmentation on Sclerotic Skin Next PostRetiform Purpura and Coalescent Ulceronecrotic Lesions You Might Also Like Patient with Cyanosis of the Head, Neck, Upper torso, and Arms December 29, 2021 Patient with Progressively Worsening Abdominal Distention and Pain April 26, 2022 A 6-year-old Boy with Several Hours of Vomiting and Dyspnea March 20, 2022