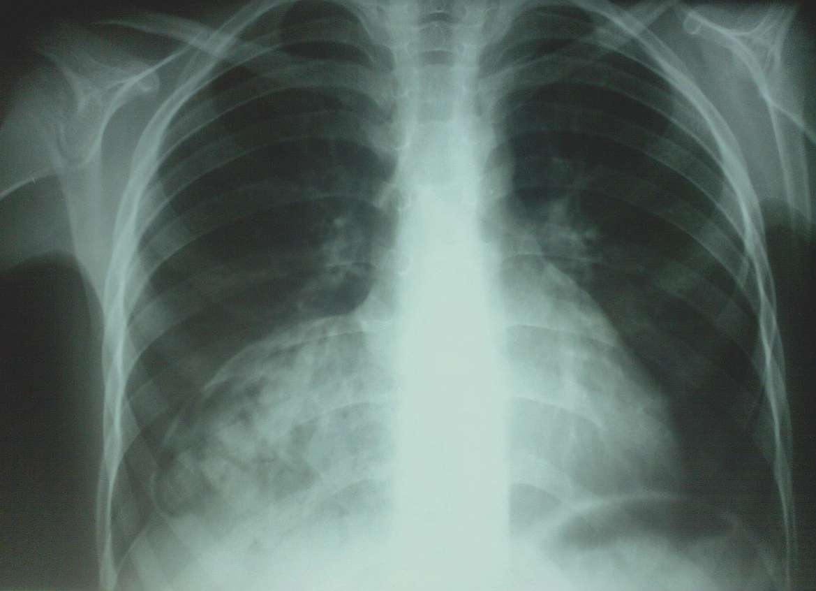
An 8-year-old girl presented to the hospital because of a light cough when she lay down. No other complains were presented by the girl and her mother.
The paediatrician found bronchial rales during auscultation in base of the right side of her chest, so he requested further imaging investigation.
What could be the diagnosis ?

