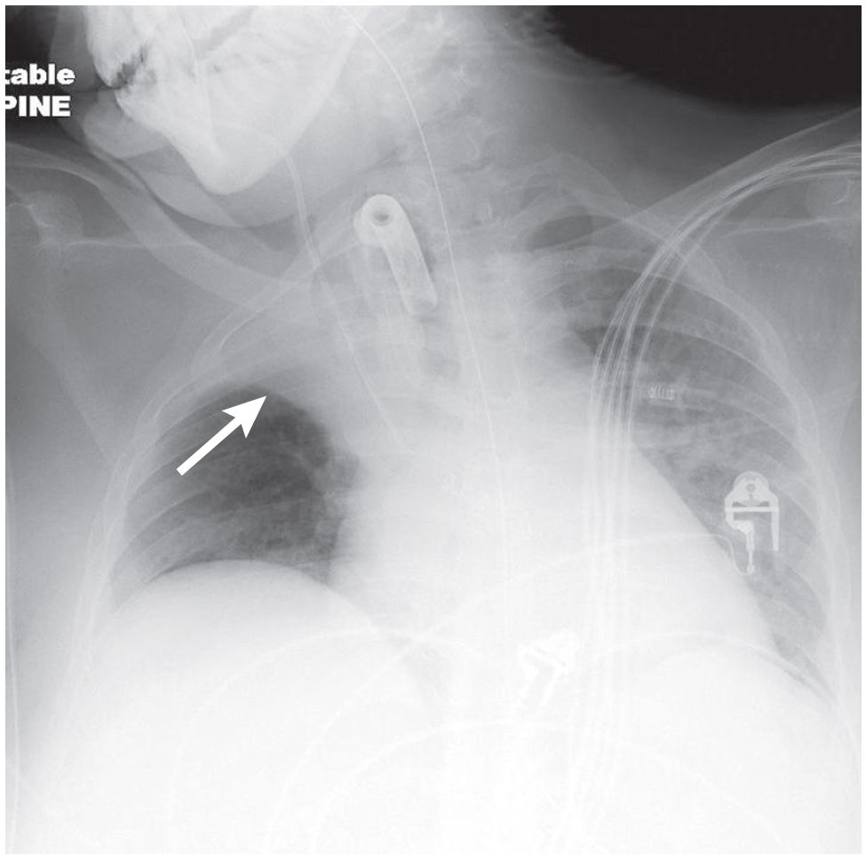
25-year-old woman, status post conversion of pre-existing endotracheal tube to a tracheostomy device, with an abrupt decrease in oxygen saturations and increased work of breathing immediately following the procedure.
What’s the diagnosis ?
25-year-old woman, status post conversion of pre-existing endotracheal tube to a tracheostomy device, with an abrupt decrease in oxygen saturations and increased work of breathing immediately following the procedure.
What’s the diagnosis ?