This post is an answer to the Case – Leathery Verrucous Plaques and Nodules
The patient developed hypothyroidism secondary to radioactive iodine ablation of the thyroid 4 years prior to presentation and received levothyroxine replacement therapy, after which he attained a sustained euthyroid state.
However, he developed an asymptomatic rash over his extremities and buttock, which worsened gradually. On physical examination, several plaques that were leathery in texture and nodules were observed on his extremities and buttock.
The results of thyroid-function tests were normal (free tri-iodothyronine [T3] 3,83 pg/mL, local reference 1,80–4,10; free thyroxine [T4] 1,23 ng/dL, local reference 0,81–1,89) except for a thyroid-stimulating hormone concentration of 0,094 μIU/mL (local reference 0·38–4·34) and thyrotrophin receptor antibody concentration of 280,51 IU/L (local reference <13). Results of liver and kidney function tests were normal, and concentrations of calcium, 1,25-dihydroxyvitamin D3, 25-hydroxyvitamin D3, parathyroid hormone, urinary calcium, and urine phosphorus were within normal limits.
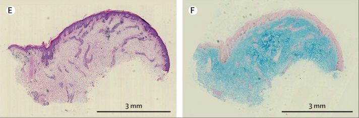
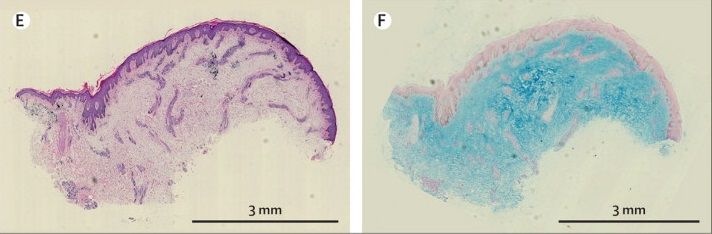
On histological examination of skin lesion biopsy specimens stained with haematoxylin and eosin and alcian blue, abundant deposition of mucin was seen in the dermis (image). The final diagnosis according to the pathology report was myxedema.

(E) Large quantities of mucin are deposited in the reticular dermis, causing collagen bundles to separate and the dermis to thicken. A grenz zone of normal collagen is also observed as well as orthohyperkeratosis, follicular plugging, and acanthosis (haematoxylin and eosin stain, original magnification ×20);
(F) Same findings with alcian blue staining of the same samples (original magnification ×20).
Despite application of potent topical corticosteroids, occlusive or compressive therapy, and multipoint subcutaneous injection of long-acting glucocorticoid, the skin lesions showed no obvious signs of remission after 6 months of treatment.
