This post is an answer to the Case – Woman With a History of Rheumatic Fever
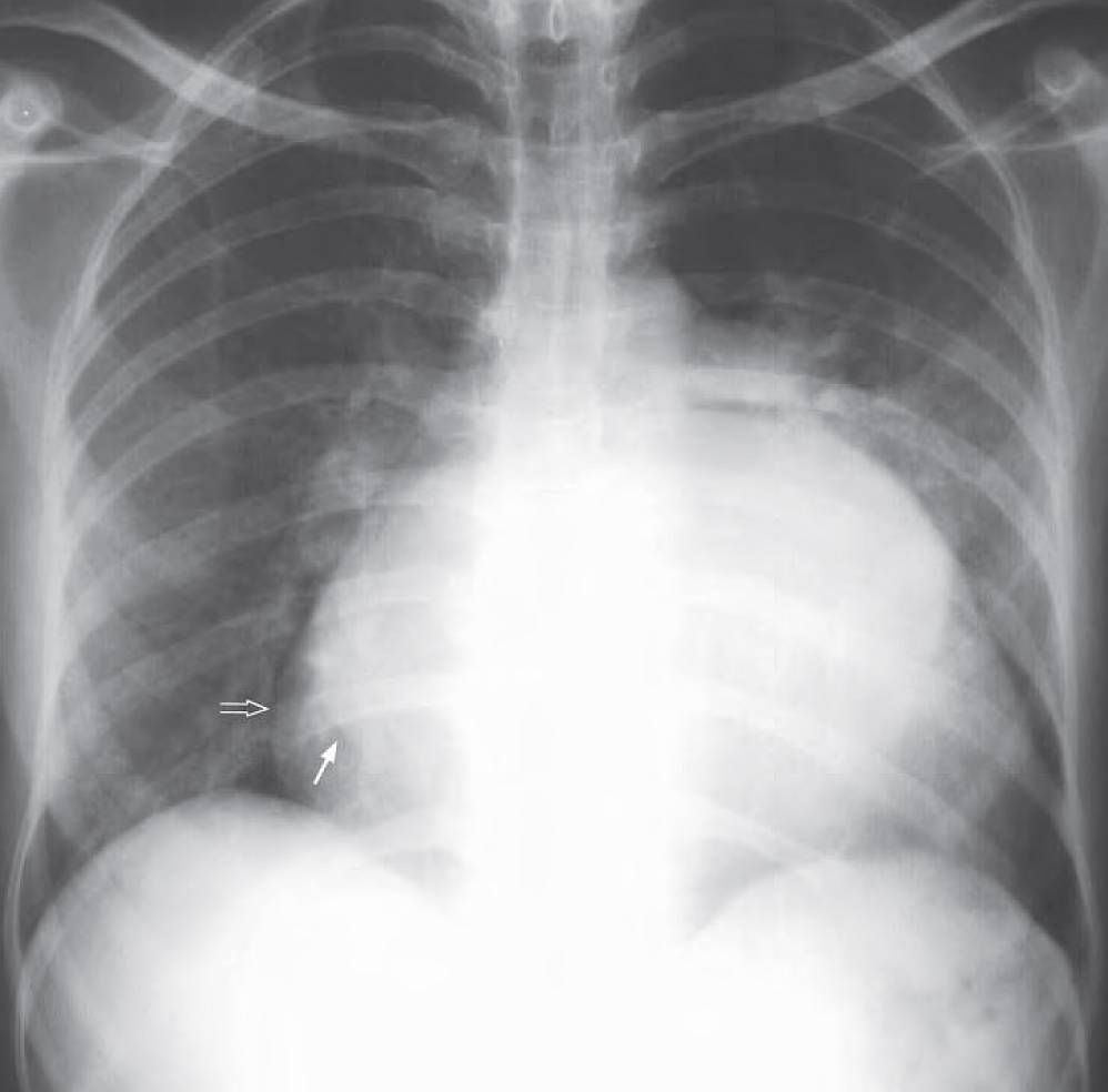
Chest X-Ray Interpretation
- Cardiomegaly
- Enlarged left atrium seen as a double density (arrow) through the right upper cardiac border (open arrow)
- Prominent pulmonary artery (arrowhead)
- No obvious upper lobe blood diversion or signs of cardiac failure

Diagnosis: Mitral stenosis.
Chest radiograph shows enlarged left atrium with double density (arrow) seen through the right heart border (open arrow) and prominent central pulmonary artery (arrowhead). No radiographic evidence of cardiac failure
