This post is an answer to the Case – Patient with Decreased Appetite, Vomiting, Weight Loss and a Mass Through the Umbilicus
Physical examination revealed a distended abdomen with a fluid wave, a palpable pelvic mass, and a tumor protruding through the umbilicus.
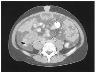
Computed tomographic scanning showed a large pelvic mass probably originating from the ovary, omental and hepatic metastases, ascites, and a mass through the umbilicus (image).

Pathological evaluation of a biopsy specimen showed a desmoplastic small round-cell tumor. The patient received vincristine, doxorubicin, and cyclophosphamide alternating with etoposide and ifosfamide.
After two courses of therapy, the primary tumor and metastatic lesions remained unchanged, but the amount of ascites was decreased. Eight months after diagnosis, the patient is clinically well with stable disease.
Metastatic cancer of the umbilicus, known as Sister Mary Joseph’s nodule, is typically associated with adult cancers of the gastrointestinal tract and ovary. This condition was named for Sister Mary Joseph (1856 –1939), a surgical assistant for Dr. William Mayo, who noted the association between paraumbilical nodules observed during skin preparation for surgery and metastatic intraabdominal cancer confirmed at surgery.
