A 67-year-old woman presented with a 6-month history of dyspnea and dysphagia. Physical examination revealed a small cervical goiter, but the lower poles of the thyroid were not palpable. The serum thyrotropin and free thyroxine levels were normal.
Ultrasonography of the neck revealed a large goiter with the right lobe extending into the anterior superior mediastinum; the lower part of the mass was not detectable because of the sternum.
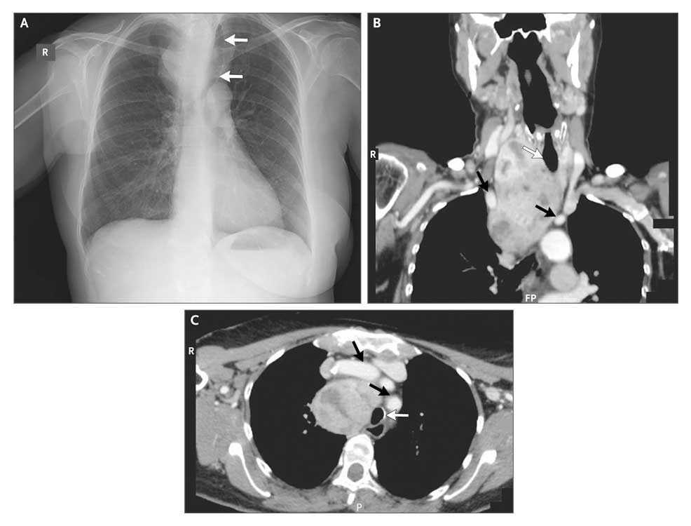
Chest radiography (Panel A) showed tracheal deviation (arrows). Cervical and mediastinal computed tomography (Panels B and C, respectively) showed a large goiter (8 by 6 by 10 cm) extending from the laryngeal cartilage into the mediastinum, displacing vascular structures (black arrows) and causing both compression and deviation of the trachea (white arrows).
Total thyroidectomy was performed, and histologic examination revealed a multinodular goiter. The patient’s symptoms resolved after surgery.

