This article is an answer to the Case – Patient with Progressively Worsening Abdominal Distention and Pain
The patient was cachectic and had rapid, shallow respirations. Abdominal examination revealed notable distention, tympany, and voluntary guarding but no rebound or overt signs of peritonitis.
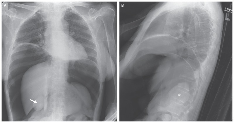
Plain-film radiographs of the chest obtained with the patient in the frontal and lateral positions revealed evidence of pneumoperitoneum, with gas extending from the infradiaphragmatic region to the inferior margin of the liver, outlining the gallbladder (Panel A, arrow). Gas outlined the spleen on the lateral view (Panel B, asterisk).
The findings were highly suggestive of bowel perforation. The decision was made to pursue comfort care, in accordance with the patient’s stated goals. A bedside venting procedure was performed to decompress the abdomen and provide symptomatic relief. The patient died shortly thereafter.

