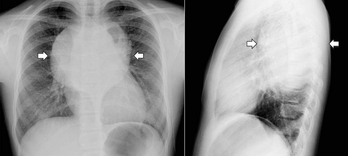
A 10-year-old girl with no significant past medical history was referred to our institution with a two-month history of posterior thoracic pain, which was aggravated by coughing and accompanied by anorexia, weight loss and cachexia. Physical examination and laboratory tests were unremarkable.
What could be the diagnosis ?

