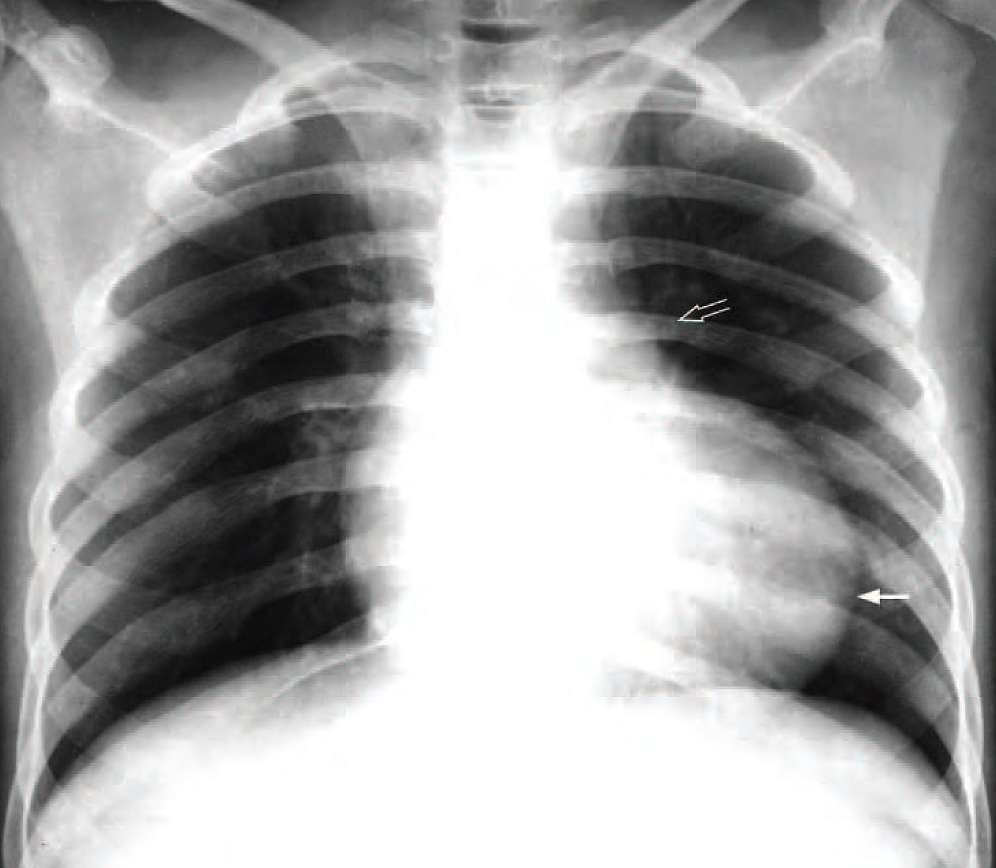
2-year-old child presented with shortness of breath on playing and multiple short episodes of loss of consciousness. On examination the child was cyanotic and a heart murmur was noted. A CXR was performed as an initial examination.
What are the CXR findings and what is the most likely diagnosis ?

