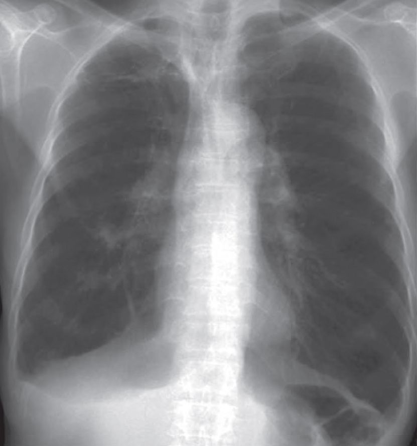
A 70-year-old chronic smoker for 50 years presented with exertional shortness of breath for 1 year. His exercise tolerance was limited to 1 flight of stairs and he remained largely home-bound for recent 6 months.
Physical examination showed he was tachypnoeic with central cyanosis. Examination of respiratory system revealed use of accessory muscles of respiration and hyperinflated chest on both sides.
What abnormality can you identify on CXR and what’s the likely diagnosis ?

