This post is an answer to the Case – Chronic Smoker With Exertional Dyspnea
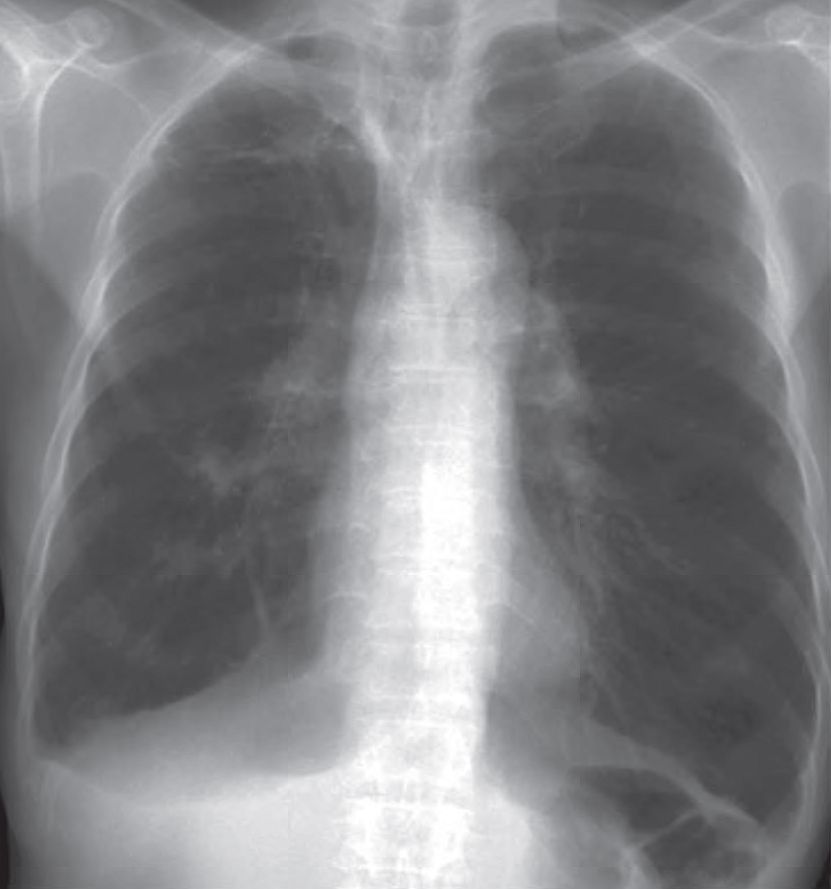
Chest X-Ray Interpretation
- Hyperinflated, hyperlucent lungs
- Flat diaphragm

Diagnosis: COPD (Emphysema)
READ MORE: COPD (Emphysema and Chronic Bronchitis): From Diagnosis to Treatment
