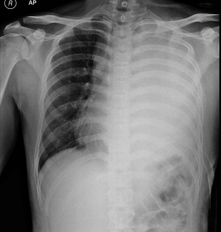
A 15-year-old male patient presented with a 3-months history of shortness of breath, decreased appetite, fatigue and fever. A chest radiograph revealed a massive left-sided pleural effusion. A chest tube was placed on the left hemithorax and the patient was sent to a referral centre.
What’s the diagnosis ?

