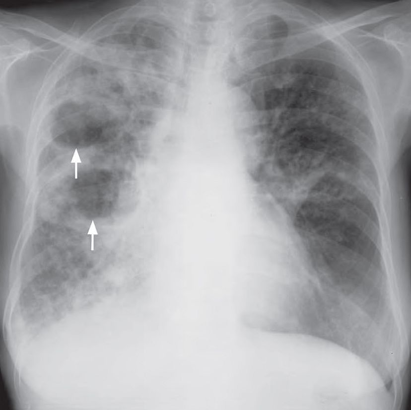
A 45-year-old woman with poorly controlled diabetes mellitus, presented with productive cough for 1 month. She also noticed low grade fever, night sweating and weight loss during this period.
Examination of the chest showed a dull percussion note, decreased air entry and coarse crepitations in the right upper zone. Laboratory investigations revealed raised ESR, normal white cell count and a CXR was performed.
What radiological abnormalities can you identify and what is the likely diagnosis ?

