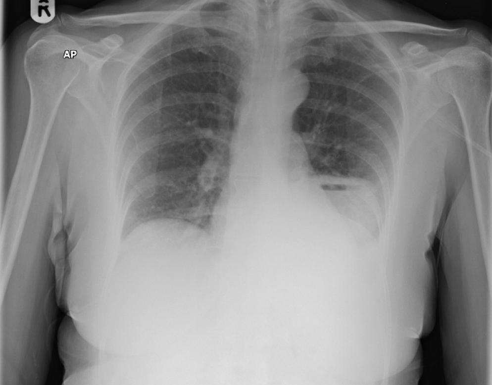
A 62-year-old female patient was admitted with a 4 week history of general malaise, left sided back pain, increasing dyspnoea and cough productive of purulent sputum.
On examination she was pyrexic (38.4), tachycardic, tachypnoeic and hypoxic. Chest was dull to percuss over the left base with bronchial breathing also noted.
What could be the diagnosis ?

