A 68-year-old male patient presented with decreased level of consciousness. A non-enhanced trans-axial head CT was obtained showing a hypertensive left cerebellar haemorrhage and subarachnoid extension.
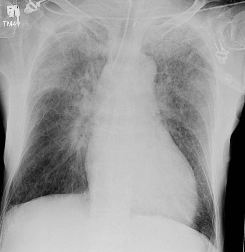
What changes are noted on the chest x-ray and what’s the diagnosis ?

