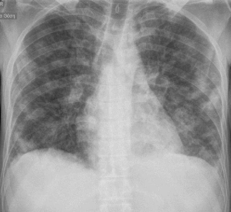
A 34-year-old female patient with a history of IV drug abuse was admitted to the hospital with fever for ten days and worsening dyspnoea for two days. She had tachycardia, fever (41°C) and decreased respiratory murmur.
Her laboratory examinations showed increased Erythrocyte Sedimentation Rate, CRP and WBC with neutrophilia.
What’s the diagnosis ?

