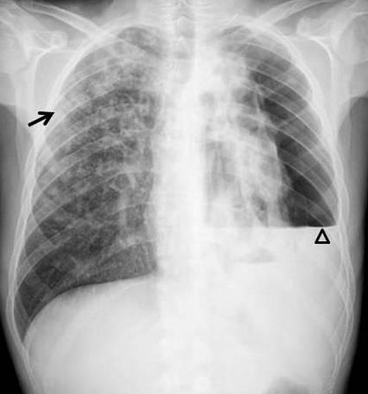
A 28-year-old male Spanish patient presented with weight loss and anorexia for one year, in association with dyspnoea, fever, cough, expectoration and left pleuritic pain during the past week. On physical examination during chest auscultation hypophonesis was noted on the left side.
What’s the diagnosis ?

