This post is answer to the Case – Patient with Weight Loss, Anorexia, Fever, Cough
Imaging Findings
Posteroanterior radiography showed a hydropneumothorax on the left side with a collapsed left lung. On the contralateral side, ill-defined nodules and consolidations in the right upper lobe and upper segment of the lower lobe were seen (Fig. 1).

Tube thoracostomy was performed in the emergency department, with improvement of the symptoms. CT with intravenous contrast showed patchy areas of consolidation with air bronchogram, poorly defined margins, predominantly in the upper lobes. In addition, centrilobular nodules and the tree-in-bud pattern was observed. On the left side, several of these consolidations cavitated (Fig. 2).

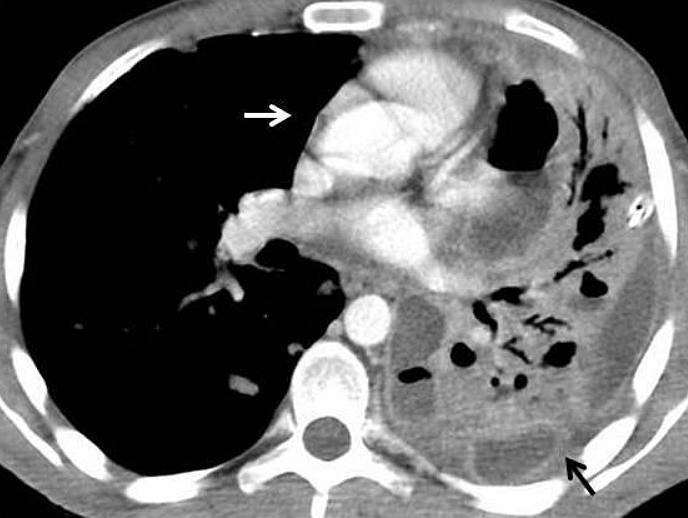
Also, CT revealed a loculated left pleural effusion with thickened and enhanced visceral and parietal pleura (the split pleura sign), suggestive of empyema (Fig. 3). There was no lymphadenopathy.

Differential Diagnosis List
- Hydropneumothorax as the initial manifestation of postprimary tuberculosis.
- Chronic obstructive pulmonary disease (emphysema, cystic fibrosis…)
- Lung cancer
- Other infection (coccidioidomycosis, aspergillosis, histoplasmosis…)
- Pneumocystis jiroveci (in HIV-related disease)
SIMILAR CASE: Hydropneumopericardium After Intubation
