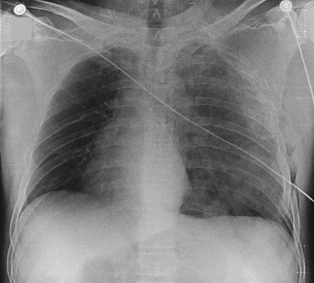
Patient with Chest Trauma Related to a Motorcycle Accident Post category:Spot Diagnosis Post published:March 26, 2022 Share on Facebook Share on X (Twitter) Share on Pinterest Share on Email Share on Reddit Chest X-Ray of a Patient with Chest Trauma Related to a Motorcycle Accident A 48-year-old man was referred to the emergency department for chest trauma related to a motorcycle accident. What is the Diagnosis ? CLICK FOR FULL CASE AND ANSWER Share on Facebook Share on X (Twitter) Share on Pinterest Share on Email Share on Reddit Read more articles Previous PostHyperpigmented Square on Lower Back Next PostPatient with Symptoms of Eye and Ear Pain You Might Also Like Patient with Acute Dyspnea and Chest Pain and a History of Peptic Ulcer April 10, 2022 Annular, Scaly, Blistering, Violaceous Plaque after use of Antibiotic August 19, 2021 Nonpruritic, Well-Circumscribed, Scale-Covered, Erythematous Plaques on Palms and Soles November 3, 2021
Nonpruritic, Well-Circumscribed, Scale-Covered, Erythematous Plaques on Palms and Soles November 3, 2021