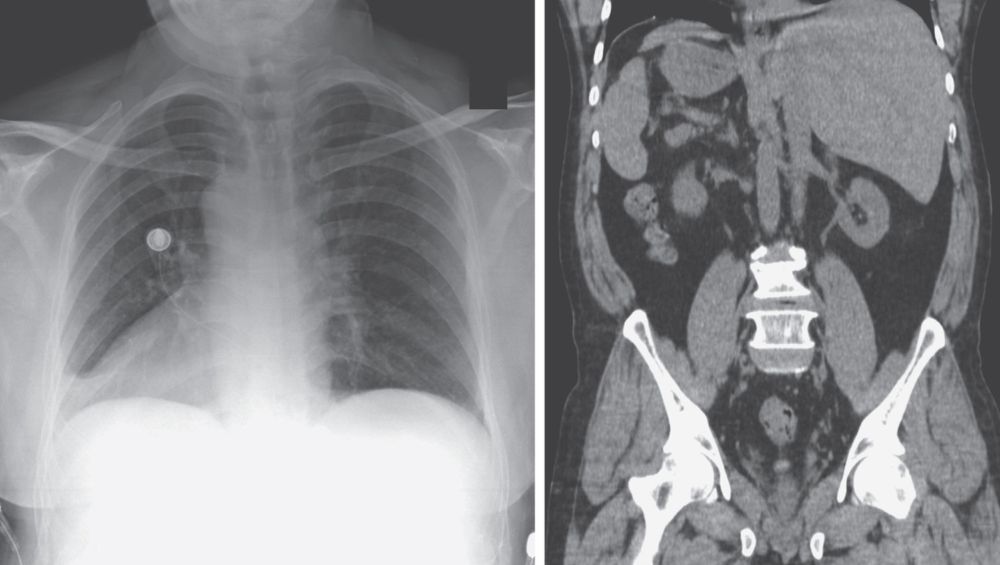
A 66-year-old man presented to the emergency department with a 3-day history of cough, congestion, and pain in his chest and on the left side of his abdomen.
What is the abnormality noted incidentally on chest radiograph and computed tomography of the abdomen?

