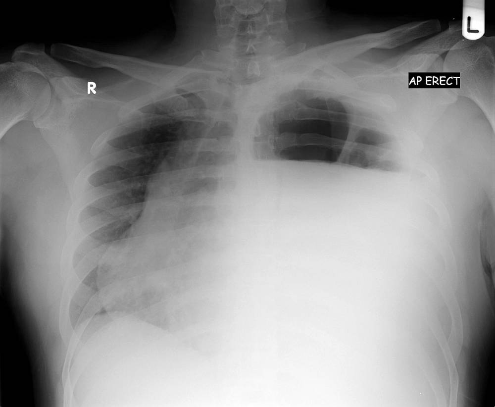
A 36 year old smoker was referred to a chest clinic following an employment medical. He had restrictive spirometry and a subsequent chest radiograph. His only complaint was of mild exertional dyspnoea.
Past medical history included Ramstedt pyloromyotomy for pyloric stenosis as a neonate and a road traffic accident (RTA) aged 16 sustaining left sided rib and pelvic fractures. The patient was a competitive full contact kick boxer from his early teens, training with weightlifting and admitted illicit anabolic steroid use.
What could be the diagnosis ?

