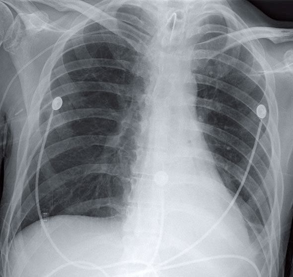
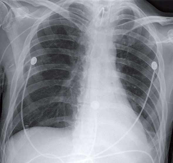
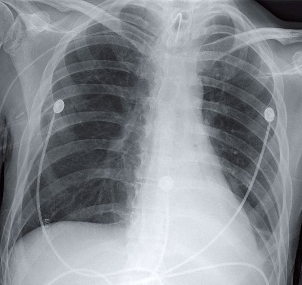
Patient with Myasthenia Gravis and Hypoxia Post category:Spot Diagnosis Post published:February 28, 2026 Share on Facebook Share on X (Twitter) Share on Pinterest Share on Email Share on Reddit CXR of a Patient with Myasthenia Gravis and Hypoxia 28-year-old man with a history of myasthenia gravis is noted to be hypoxic. What’s the diagnosis ? FULL CASE AND ANSWER Share on Facebook Share on X (Twitter) Share on Pinterest Share on Email Share on Reddit Read more articles Previous PostWoman with a History of a Mitochondrial Myopathy Next PostSwelling of the Hands You Might Also Like Hyperkeratosis, Papillomatous Plaques, and Loosely Adherent Crust on Legs December 15, 2021 Patient with Symptoms of Eye and Ear Pain March 31, 2022 Patient with Acute Dyspnea and Chest Pain and a History of Peptic Ulcer April 10, 2022