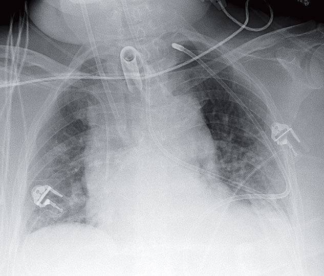
Woman with a History of a Mitochondrial Myopathy Post category:Spot Diagnosis Post published:February 14, 2026 Share on Facebook Share on X (Twitter) Share on Pinterest Share on Email Share on Reddit Woman with a History of a Mitochondrial Myopathy 72-year-old woman with a history of a mitochondrial myopathy receives this portable chest radiograph. What’s the diagnosis ? FULL CASE AND ANSWER Share on Facebook Share on X (Twitter) Share on Pinterest Share on Email Share on Reddit Read more articles Previous PostPink Plaques in a Healthy Infant Next PostPatient with Myasthenia Gravis and Hypoxia You Might Also Like Annular, Scaly, Blistering, Violaceous Plaque after use of Antibiotic August 19, 2021 Erythematous and Irregular Linear Streak Extending from the Hand to the Axilla December 21, 2021 Livedo Reticularis and Cyanosis of the Toes After CABG May 20, 2022