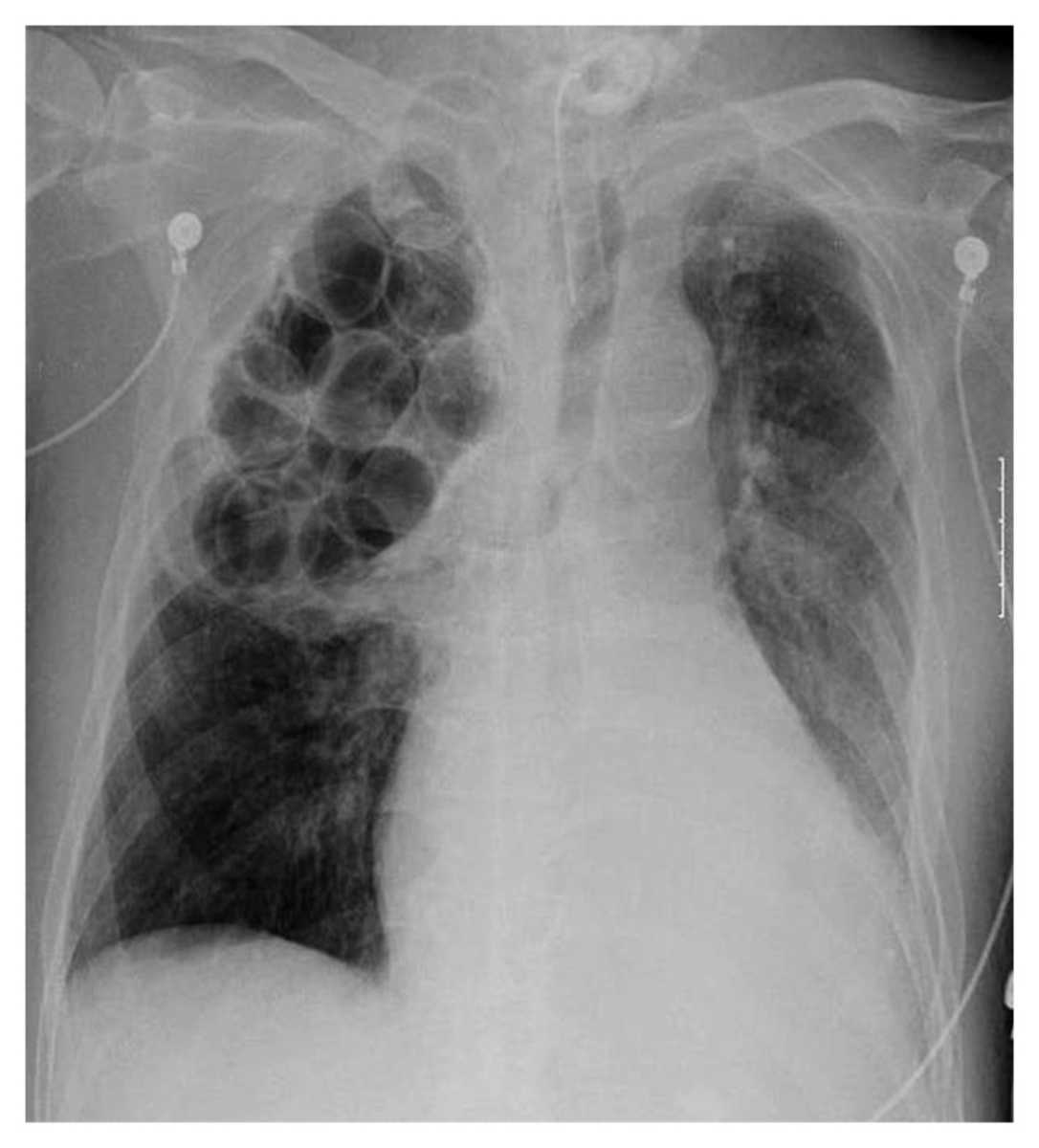
Patient with Repeated Episodes of Septic Shock and History of Pulmonary Tuberculosis in the Past Post category:Spot Diagnosis Post published:December 17, 2021 Share on Facebook Share on X (Twitter) Share on Pinterest Share on Email Share on Reddit An 86-year-old man was hospitalized for repeated episodes of septic shock due to methicillin-resistant Staphylococcus aureus (MRSA) pneumonia. In 1948, the patient had pulmonary tuberculosis. What do you see on this Chest X-ray ? CLICK HERE FOR FULL CASE AND ANSWER Share on Facebook Share on X (Twitter) Share on Pinterest Share on Email Share on Reddit Read more articles Previous PostHyperkeratosis, Papillomatous Plaques, and Loosely Adherent Crust on Legs Next PostErythematous and Irregular Linear Streak Extending from the Hand to the Axilla You Might Also Like Multiple White Lines on the Fingernails June 23, 2021 Patient with Decreased Appetite, Vomiting, Weight Loss and a Mass Through the Umbilicus November 29, 2021 A Diagonal Crease in Each Earlobe September 7, 2021
Patient with Decreased Appetite, Vomiting, Weight Loss and a Mass Through the Umbilicus November 29, 2021