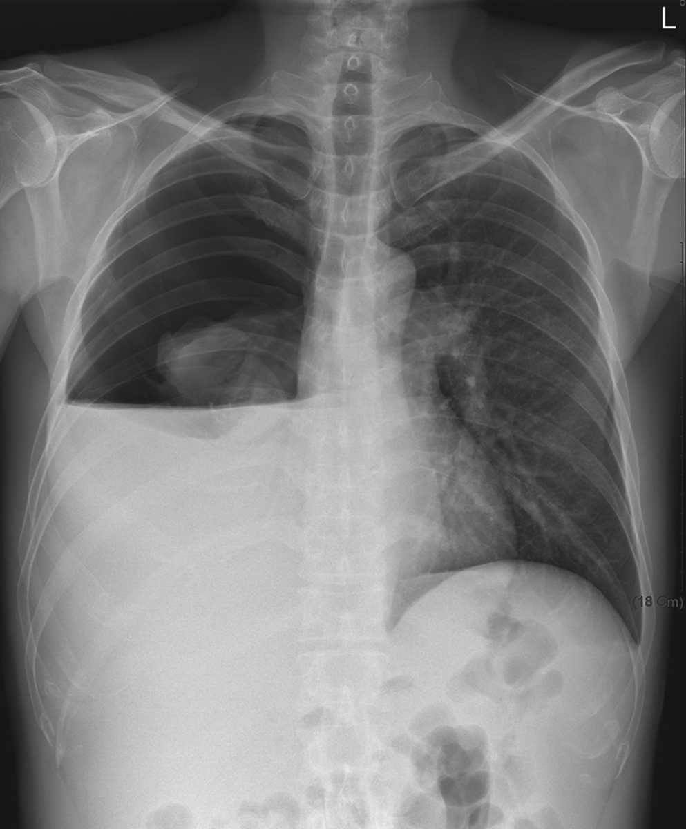
A 47-year-old man with a history of cirrhosis associated with alcohol abuse presented with a 2-day history of shortness of breath.
What’s the Diagnosis ?
A 47-year-old man with a history of cirrhosis associated with alcohol abuse presented with a 2-day history of shortness of breath.
What’s the Diagnosis ?