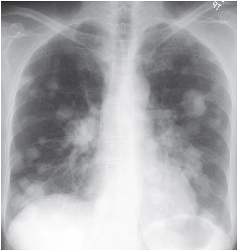
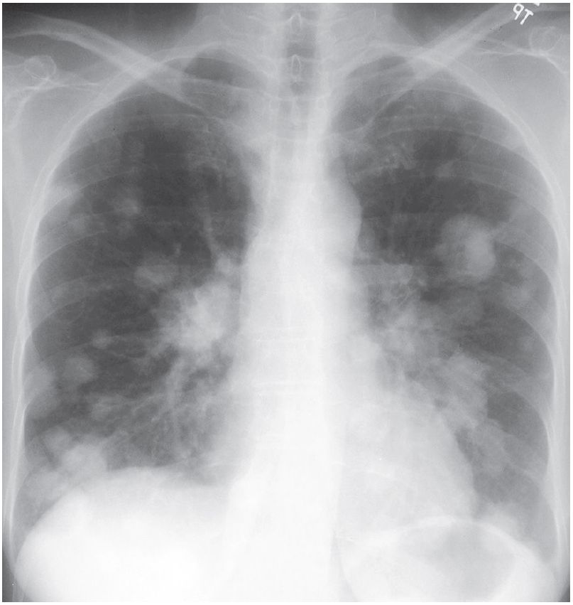
Post Hysterectomy for Uterine Cancer Post category:Spot Diagnosis Post published:May 24, 2023 Share on Facebook Share on X (Twitter) Share on Pinterest Share on Email Share on Reddit 50-year-old woman status post hysterectomy for uterine cancer 50-year-old woman status post hysterectomy for uterine cancer. What’s the Diagnosis ? FULL CASE AND ANSWER Share on Facebook Share on X (Twitter) Share on Pinterest Share on Email Share on Reddit Read more articles Previous PostAcute Flank Pain and Nail Changes Next PostPtosis and Anisocoria after Traumatic Head Injury You Might Also Like Patient with Acute Dyspnea and Chest Pain and a History of Peptic Ulcer April 10, 2022 Phlegmasia Cerulea Dolens (Deep Vein Thrombosis) May 10, 2021 A 20-year-old man with Increasingly Frequent Bloody Diarrhea and Weight Loss January 13, 2022