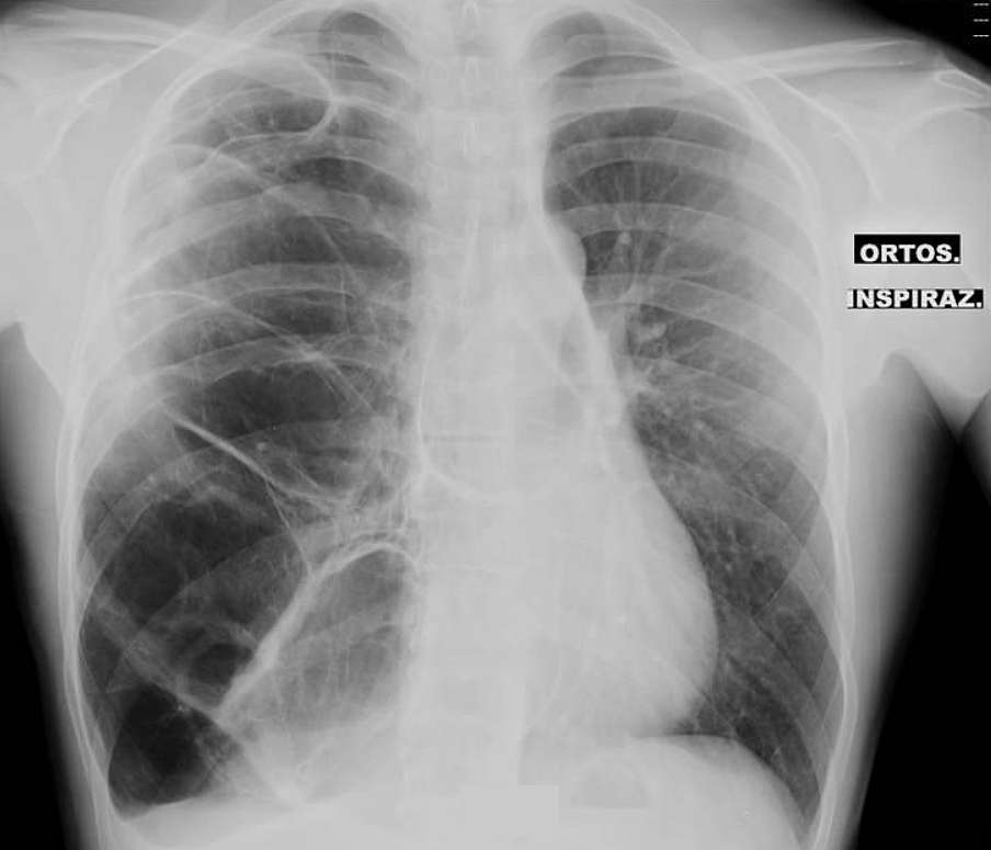
Patient with Right Subscapular Pain and Tachycardia Post category:Spot Diagnosis Post published:March 9, 2024 Share on Facebook Share on X (Twitter) Share on Pinterest Share on Email Share on Reddit A 21-year-old male patient was admitted to the Emergency Department for right subscapular pain and tachycardia suspicious for pneumothorax. Patient with Right Subscapular Pain and Tachycardia What could the diagnosis be ? FULL CASE AND ANSWER Share on Facebook Share on X (Twitter) Share on Pinterest Share on Email Share on Reddit Read more articles Previous PostGums Discoloration Next PostProgressive Fingertip and Toe Enlargement You Might Also Like Palpable, Ropelike Cord from the Left Medial Malleolus to the Groin July 7, 2021 Woman with Dermatomyositis and Subcutaneous Nodules on the Arms and Legs May 13, 2022 Patient with History of Esophageal Stenosis due to Chemical Burn April 14, 2022