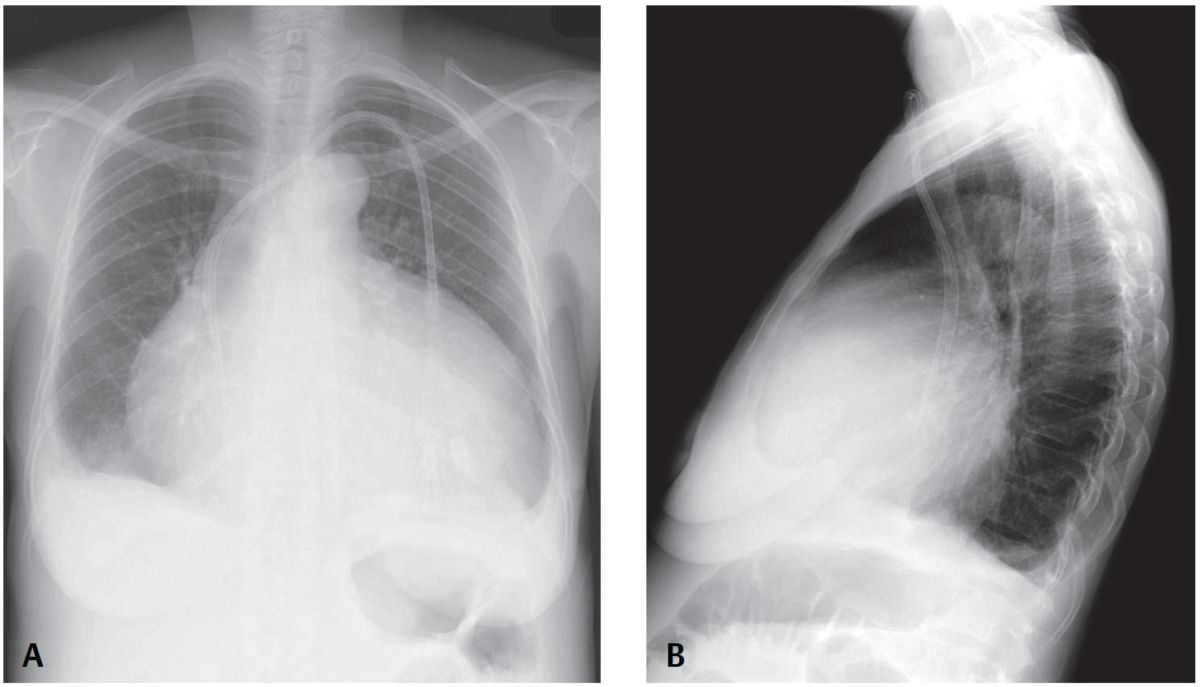
Uremia and Shortness of Breath Post category:Spot Diagnosis Post published:June 3, 2023 Share on Facebook Share on X (Twitter) Share on Pinterest Share on Email Share on Reddit Uremia and Shortness of Breath 40-year-old woman with long-standing uremia presents with increasing shortness of breath. What’s the Diagnosis ? FULL CASE AND ANSWER Share on Facebook Share on X (Twitter) Share on Pinterest Share on Email Share on Reddit Read more articles Previous PostAnisocoria from Nebulized Medication Next PostErythema and Swelling of Finger You Might Also Like Woman with Dermatomyositis and Subcutaneous Nodules on the Arms and Legs May 13, 2022 Infant with Nonbilious Vomiting and Lack of Stools June 11, 2022 Erythematous Concentric, Raised, Serpiginous Skin Lesions June 18, 2021