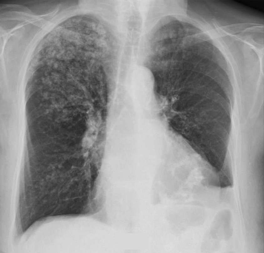
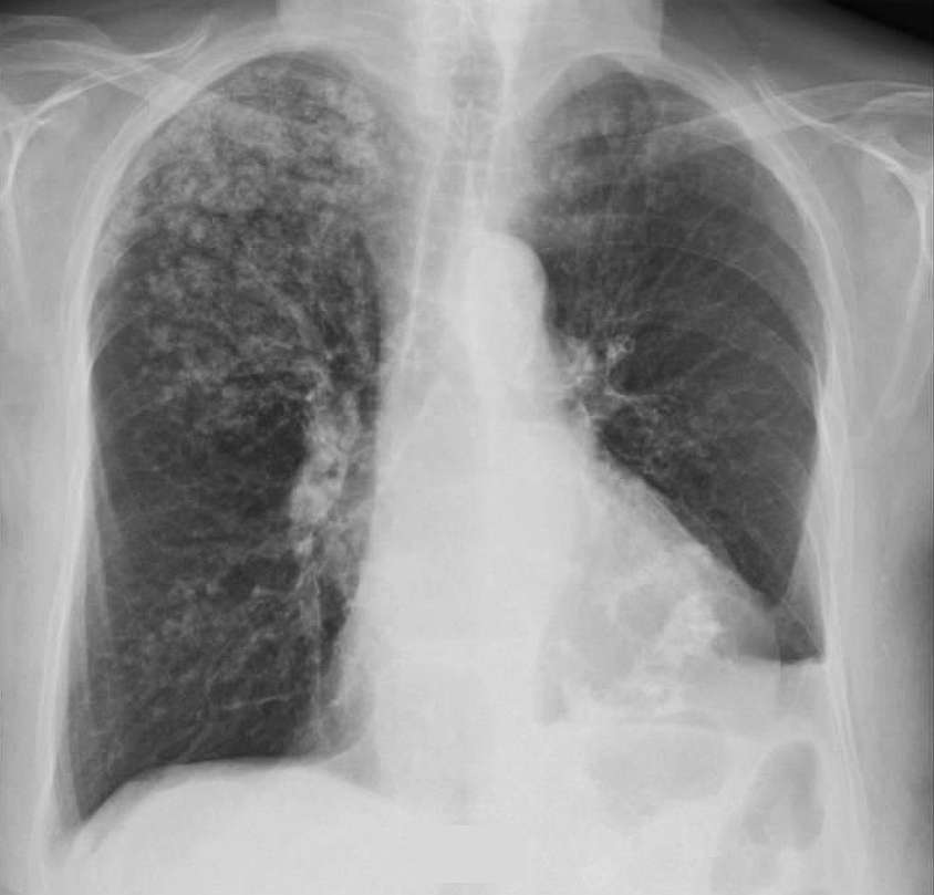
71-year-old Woman With Chronic Renal Failure Post category:Spot Diagnosis Post published:January 27, 2024 Share on Facebook Share on X (Twitter) Share on Pinterest Share on Email Share on Reddit Chest X-ray of a Woman With Chronic Renal Failure A 71-year-old woman presented with a non-healing wound at the hospital. She had a history of chronic pyelonephritis and chronic renal failure. She was treated with chronic haemodialysis-haemofiltration. What could be the diagnosis ? FULL CASE AND ANSWER Share on Facebook Share on X (Twitter) Share on Pinterest Share on Email Share on Reddit Read more articles Previous PostFever, Vomiting, Diarrhea and Subconjunctival Bleeding Next PostNonpruritic Hyperpigmented Plaques You Might Also Like Erythematous and Irregular Linear Streak Extending from the Hand to the Axilla December 21, 2021 Patient with Repeated Episodes of Septic Shock and History of Pulmonary Tuberculosis in the Past December 17, 2021 Patient with Symptoms of Eye and Ear Pain March 31, 2022
Patient with Repeated Episodes of Septic Shock and History of Pulmonary Tuberculosis in the Past December 17, 2021