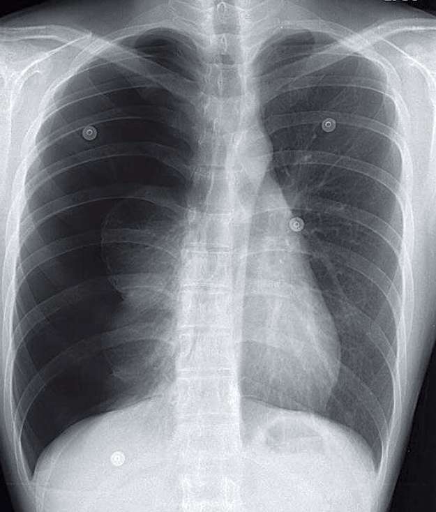
27-year-old woman with chest tightness and dyspnea Post category:Spot Diagnosis Post published:November 5, 2025 Share on Facebook Share on X (Twitter) Share on Pinterest Share on Email Share on Reddit 27-year-old woman with chest tightness and dyspnea 27-year-old woman with chest tightness and shortness of breath presents to the Emergency Department. What’s the diagnosis ? FULL CASE AND ANSWER Share on Facebook Share on X (Twitter) Share on Pinterest Share on Email Share on Reddit Read more articles Previous PostPruritic Rash in a Woman with HIV Next PostSkin Lesion in a Patient on Haemodialysis You Might Also Like Nonpruritic, Well-Circumscribed, Scale-Covered, Erythematous Plaques on Palms and Soles November 3, 2021 Unilateral Leg Swelling and Bluish Discoloration May 10, 2021 Black Discoloration of the Tongue August 12, 2021
Nonpruritic, Well-Circumscribed, Scale-Covered, Erythematous Plaques on Palms and Soles November 3, 2021