33-year-old homeless woman presented to the emergency room with 2 days of dry cough, dyspnoea, and fever, and 1 week of pruritic rash. On examination she had a temperature of 41·0°C, blood pressure of 98/65 mm Hg, heart rate of 85 bpm, respiratory rate of 16 bpm, and O2 saturation of 47% on room air.
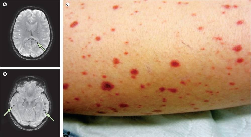
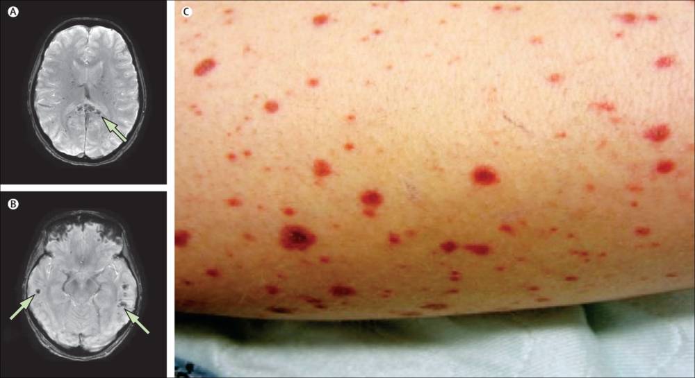
She had a diffuse papular rash with vesicles of different ages with haemorrhagic crust affecting the trunk, extremities, face, and scalp, but sparing the palms and soles. She had normal mental status, cranial nerves, motor, and sensory examination. Chest radiograph showed diffuse bilateral airspace opacities.
Within a few hours of presentation she suddenly became confused, with flaccid paralysis necessitating intubation and admission to the medical intensive care unit. Electroencephalogram showed non-convulsive status epilepticus.
MRI brain showed multiple foci of punctate microhaemorrhages throughout the corpus callosum, both temporal lobes, and left posterior cingulate gyrus, consistent with infectious haemorrhagic encephalitis (image).
HIV testing was positive, with CD4 count 4 cells/μL (normal 348–1456 cells/μL), and viral load was 66 000 copies/mL (normal < 50 copies/mL)
What’s the most likely diagnosis ?

