72-year-old Man with Dyspnea and Left-sided Pleuritic Chest Pain

72-year-old Man with Dyspnea and Left-sided Pleuritic Chest Pain

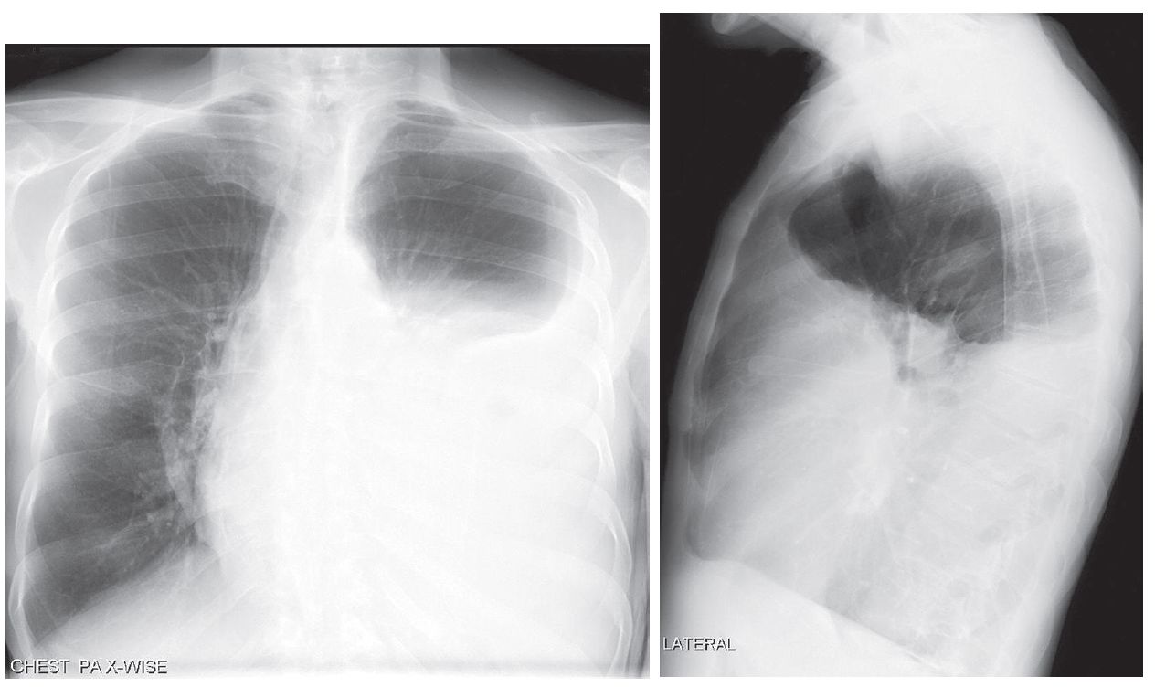
72-year-old man with long-standing history of chronic obstructive lung disease presents to his physician with progressive dyspnea over the last several weeks and left-sided pleuritic chest pain.

What is the Diagnosis ?