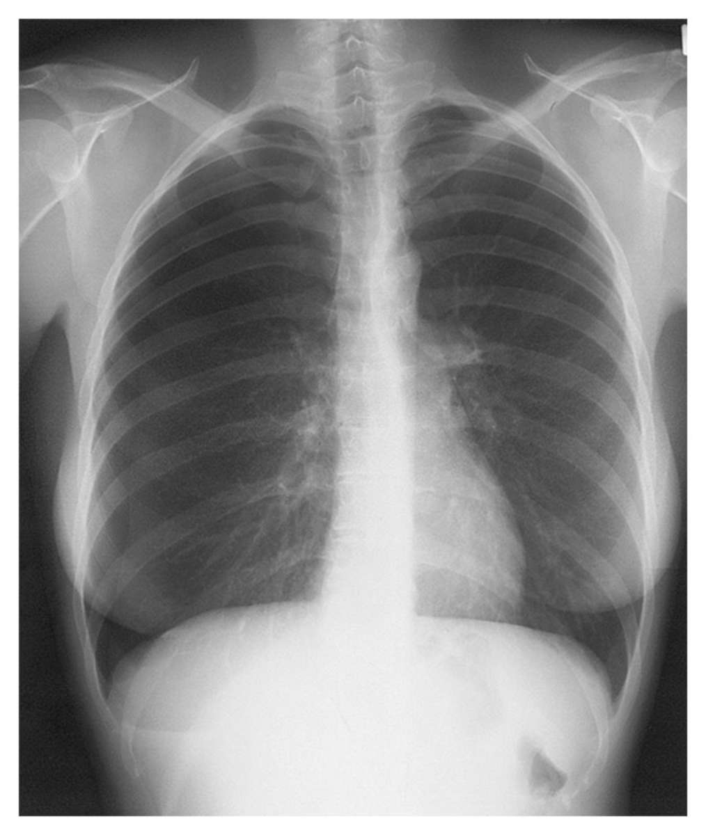
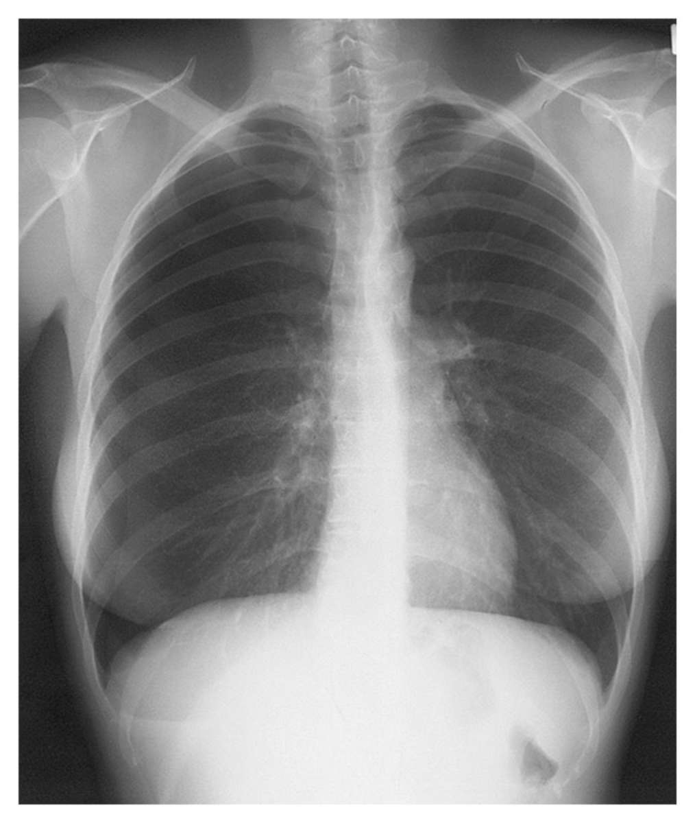
Woman with Recurrent Right-Sided Chest Pain Synchronously with her Menses Post category:Spot Diagnosis Post published:November 8, 2021 Share on Facebook Share on X (Twitter) Share on Pinterest Share on Email Share on Reddit Woman with Recurrent Right-Sided Chest Pain Synchronously with her Menses This 38-year-old woman developed recurrent right-sided chest pain synchronously with her menses. What is the most likely diagnosis? CLICK HERE FOR FULL CASE AND ANSWER Share on Facebook Share on X (Twitter) Share on Pinterest Share on Email Share on Reddit Read more articles Previous PostNonpruritic, Well-Circumscribed, Scale-Covered, Erythematous Plaques on Palms and Soles Next PostVarices of the Chest and Abdominal Wall You Might Also Like Palpable, Ropelike Cord from the Left Medial Malleolus to the Groin July 7, 2021 67-year-old Woman with a 6-month History of Dyspnea and Dysphagia December 2, 2021 Patient with Diabetic Nephropathy and Secondary Hyperparathyroidism May 11, 2022