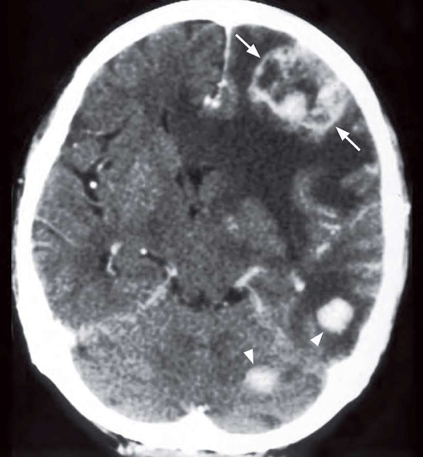
A 77-year-old woman had carcinoma of the left breast resected 2 years earlier. Her relatives noticed that she had become increasingly clumsy with progressive memory loss in the last 2 months. A contrast enhanced CT brain was performed.
What is shown on the CT and what is the most likely diagnosis ?

